920爱牙日|牙周病是如何侵略我们的牙齿呢?
牙周病是常见的口腔疾病之一,是引起成年人牙齿丧失的主要原因。常见的牙周病包括:牙龈炎和牙周炎。
牙周病的罪魁是细菌,它在牙周病的发生、发展中起了决定性的作用,细菌附着于牙齿或口腔软组织上,形成菌斑,并且不断发展并产生许多毒性因子,引起牙龈红肿、出血和牙周韧带的破坏,并导致支持牙齿的牙槽骨被破坏和吸收,最终导致牙齿的松动和脱落。而且附着的菌斑长时间停留在牙面和牙周上,就会与口腔中残留的食物碎渣和唾液中的矿物质等钙化形成牙结石,牙结石不仅可因粗糙而刺激、压迫牙龈,更为重要的是在牙结石的表面易于形成菌斑,且不易去除,为细菌提供了一个破坏牙周组织的基地。
现代研究还发现细菌在对牙龈等进行侵害的同时,还会产生可溶性产物,从而引起全身的免疫反应,对牙周病的发生、发展都有着不良作用。
图解:健康牙齿与牙周病患牙齿
牙周病是造成牙齿松动的主要原因。那么,牙周病是如何侵略我们的牙齿呢?
温馨提示您:
请不要在吃东西的时候查看下面的图片
前方高能闪现
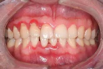
牙龈炎阶段:牙龈红肿出血,牙齿周围有牙石
牙周疾病在早期只侵犯牙龈称为牙龈炎,主要症状是牙龈红肿、刷牙或咬硬物时出血。
早期牙周炎:除牙龈炎症外,牙周袋形成,牙槽骨轻度吸收
早期牙周炎,即炎症牙周膜及牙周袋,内有菌斑及滞留的食物残渣,牙龈可发生红肿、流脓,因而有持续的口臭。
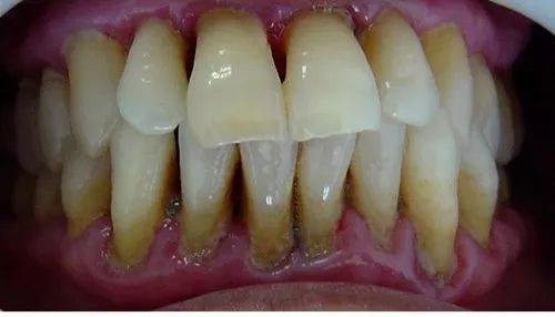
中期牙周炎:牙周袋进一步加深,牙齿松动、移位
晚期牙周炎:牙槽骨几乎完全被破坏,牙齿松动、脱落
晚期牙周炎如通过治疗已不能保留牙齿,则只好将患牙拔除并安上假牙,以避免进一步的损害。
早预防,早治疗
牙周病是口腔科最常见的疾病之一,是一种侵犯牙龈、牙周韧带和牙槽骨的慢性感染性疾病,发病率居高不下,是牙齿松动、脱落、口臭的主要原因,而慢性牙周炎主要包括牙龈萎缩、牙周变性和牙齿松动。
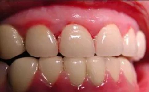
正常情况下牙周组织围绕着牙齿及牙根周围,粉红色、光滑的牙龈紧密地包绕着牙齿,覆盖在牙槽骨上。
如果出现了刷牙出血、牙齿松动、溢脓,那么您很可能患了牙周病。牙周病是造成牙齿脱落的主要原因,特别要早预防、早治疗。
虽然现在有种植牙、牙齿修复等技术可以弥补坏牙、缺失牙,但牙齿还是原装的好。从现在起,定期洗牙,定期看牙医,好好保护牙齿!

