阻生智齿(尽头牙)的危害!
智齿的危害
1、智齿冠周炎
由于智齿是最后一颗牙齿,刷牙时不易清理,局部卫生状况较差,因此可以发生牙冠周围牙龈发炎,称之为冠周炎。这是智齿萌出后最易发生的病变。患者如果不及时就诊可以继发间隙感染,导致面部肿痛、张口受限,有些病人还会发热,甚至形成面颊瘘,经久不愈,给患者带来极大痛苦。
2、智齿龋坏
由于智齿不易搞好卫生,智齿容易形成龋洞,可以引起剧痛。
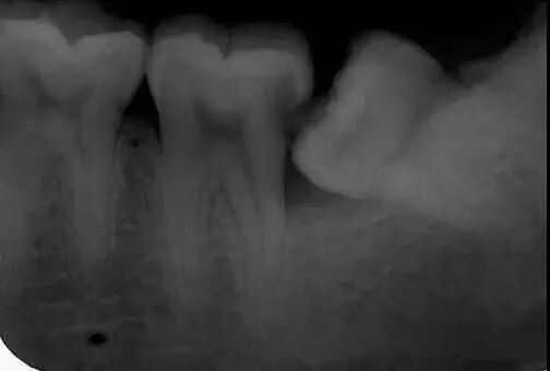
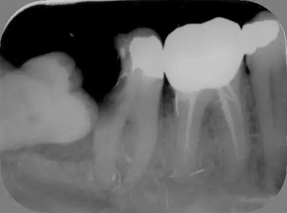
3、邻牙龋坏和牙周炎
智齿与邻牙之间有小的缝隙存在,食物残渣可以留存,长时间就可以导致邻牙发生龋坏和或牙周炎,如图所示:





