龈下结石,“隐形的”牙齿杀手!

洗完牙,为什么医生说牙结石在牙龈里面?让我做龈下刮治?如果放着不管会引起牙周炎导致牙齿松动脱落?有这么危险吗?



牙医提醒你:龈下结石不管他,还真有这么危险,它会像隐形杀手一样默默地残害你的牙齿。


牙结石为什么会长在牙龈下面?




刚开始形成的牙结石是乳白色的软垢,用牙刷或者牙线就可以清除掉,但是当它完全形成后就没那么容易对付了。这时候,牙结石就在你牙齿与牙龈的交界处沉积并繁衍,面积越来越大,也越来越厚、硬。牙结石对口腔而言就是一种异物,它会不断的压迫牙龈并刺激牙周组织,这样一来牙结石就从牙冠向下蔓延,牙龈就会一天一天萎缩,牙槽骨也会一天一天吸收,久而久之,牙齿逐渐松动,它便见缝插针,进攻到牙根了。




牙龈下面的牙结石可不是个善茬



牙龈下面的牙结石肉眼看不到,一般呈褐色或者黑色,附着更坚固,而且牙结石易吸附细菌/毒素,再加上本身对牙周组织的刺激,会使牙龈内侧溃疡,不易愈合,导致牙龈出血,牙周疾病加重,口臭,牙周袋,牙齿松动甚至脱落等。




最坏的就是,牙周病与蛀牙不同,蛀牙可通过修补的方式来改善,但是牙槽骨一旦吸收就很难再生了。举个例子:牙槽骨就像土壤,牙齿就是树,一旦土壤流失了,那么树木也很难生存了。




牙龈下面的牙结石怎么处理?



迄今为止,好像除了洗牙,世上尚无任何办法能将牙齿上的牙垢和坚硬的牙结石除掉。我们常规的洗牙只是进行牙龈上的结石,牙龈下有牙结石的,就要进行牙周刮治即龈下洁牙了。



常规的洗牙与深度的洗牙区别就在于一个字——深!

深度洗牙就是将工具深入牙龈乳头下刮去牙根表面感染的病变牙骨质,以及牙周袋内的牙结石和菌斑,刮的干净不干净,也是体现牙医受伤功夫的关键。

另外,龈上洗牙是不用打麻药的,因为不痛,顶多会酸些。而进行牙龈下深度的洗牙时,考虑到体验的舒适度,一般会在麻醉下进行。

最后,牙龈下牙结石处理后牙周组织能否恢复正常,要视牙周组织本来的病况而定,若没有恢复正常,就要进行下一步治疗。若恢复正常了,定期检查,洁治就可以了。




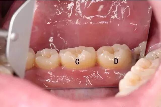
表面看上去牙齿也没有什么特别严重的问题,让我们一起来看下。




是不是大家会感觉很恶心,很不可思议,看上去ABCD这四个牙都不像这么脏呀?!

大家认为A、B、C、D这四颗牙齿有没有问题呢?有软垢、龈缘发红,有牙龈炎症。那么如果我说下面这个图片就是这四颗牙其中一颗,大家猜猜是哪一颗牙呢?(图片高能,胆小慎看)



其实这就是龈下牙石,附着在我们牙根表面,位于牙龈下方的牙结石。对于这些牙结石,普通的洗牙就显得束手无策了,需要医生为患者进行龈下刮治术。



说这些,大家一定很好奇,到底是哪颗牙会这么严重,而且表面看起来一点问题都没有,当当当当,

答案公布:这是B号牙齿。

有猜对的吗?



上一篇:牙齿上有黑线,就一定是蛀牙吗?
下一篇:拜托!求你别再说根管治疗就是“杀神经”了!