智齿的真实面目!对它仁慈就是对自己残忍!
这才是智齿的真实面目!
对它仁慈就是对自己残忍!

说起智齿,大部分人会有极其深刻的记忆,因为是真的痛。
那么智齿就是好好的一颗牙,怎么说痛就痛,有时候还需要拔掉呢?
今天这个话题,很多人都想知道答案。
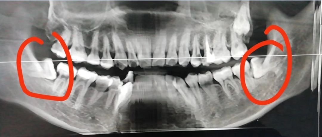
首先先给各位复习一下,什么是智齿:智齿是指人类口腔内,牙槽骨上最里面的上下左右各一的四颗第三磨牙。
因为这四颗第三磨牙正好在20岁左右时开始萌出,此时人的生理、心理发育接近成熟,于是被看做是“智慧到来”的象征,故称它为“智齿”,是口腔最靠近喉咙的牙齿。

从智齿的生长方面来说:个体差异很大,有的人20岁之前,有人40、50岁才长,有人终生不长,这都是正常的。
而且四颗智齿也不是都必然会长全,某些人的智齿可能只长1至2颗,有的智齿甚至长到一半就不再生长,这种情况称为智齿阻生,即阻生齿。

智齿的位置从门牙牙缝开始,由一侧门牙向里数牙齿数目,如果有第八颗牙,它就是智齿。
从现代医学的观点看,智齿是人类进化的必然。智齿通常是在人类心智已经趋于成熟时才长出,因而得名。
我们在吃饭时很少能够用到智齿,而智齿的萌出常常给清洁牙齿带来麻烦。
由于智齿在口腔牙槽骨的最里端,尤其是位置长得不好的智齿!牙刷很难有足够的活动空间来完成清洁。
长此以往,牙齿周围堆积的食物残渣,往往会引起口腔炎症,如智齿冠周炎等。

而且智齿在吃饭咀嚼时基本使用不到,而清洁保护又很麻烦,所以建议大部分人直接拔除智齿,避免由智齿引发的口腔疾病。
当然如果智齿本身位置长得很好,且不影响日常生活,也可以选择不拔。

拔智齿最佳年龄:13~30岁
有人会问,拔智齿有没有最佳年龄?有专家指出,13~30岁是拔智齿的最佳时期。
一般来说,在30岁前拔智齿比较合适,40岁后再拔创伤会增大。很多人都是到了“不得不拔”时才来拔,甚至有的老人80多岁了才来拔智齿,往往又因身体状况不适合而不能拔,那时因智齿引发的问题就很难彻底根除了,有时甚至会影响老人佩戴假牙,生活质量严重受损。
有的智齿已经连累周边牙齿坏掉,到时不得不两三颗牙一起拔掉,那时伤害就更大了。原则上一旦发现智齿发育不良,应尽早拔除,否则将来后患无穷。

最佳方案:12~18岁期间
去做牙齿体检
专家还提出治疗智齿的最佳方案,在12岁~18岁期间,最好去牙科给牙齿做一个“体检”,看看智齿发育情况,以便及早诊治,那时智齿根部还没有形成,尽早手术创伤小,终生受益。
此外,怀孕前最好拔除可能引发疾病的阻生智齿。


那么长了智齿,
到底要不要拔除?
对于长智齿,看是否长歪或者经常发炎,如果影响口腔的健康建议拔掉,如果对于口腔没有危害建议保留。
并不是所有的智齿都需要拔除,但是如果发生以下几种情况,就要尽快考虑拔掉了。

1.位置不正,常见于下颚智齿
智齿向前生长挤压到邻牙。此外,向后、向舌侧、向颊侧、甚至向下长也都可能产生危害。
智齿生长方向不正常,通常会导致智齿与相邻的磨牙间出现缝隙或凹槽,极易嵌顿食物残渣,长时间清理不净,相邻磨牙将发生龋齿、牙髓炎、根尖炎等。

2.出现了冠周炎
冠周炎可反复发作,严重时会出现颌周间隙感染、下颌骨骨髓炎等。

3.牙齿咬合错位
人最多会长四颗智齿,有些人会长出一颗,有些人会长出几颗,当智齿蒙出来的时候很容易造成没有相应的牙齿进行咬合,从而造成咬合异常。
4.清洁不易
由于空间不足的关系,智齿常长得歪七扭八,因此常造成清洁牙齿的困难,以致发生蛀牙现象。
5.及时就医
长智齿还是要去牙科进行检查,看是否危害口腔的健康,如果危害口腔的健康建议及时拔掉。


