这么大块的牙结石掉了怎么办?


牙结石撑着牙齿,有时候用舌头去舔它,感觉粗糙又大块,刷牙会容易掉一小块,而且特别难闻,怪不得口臭会这么重,一大块牙结石什么时候才能掉完?洗牙洗掉牙结石究竟有多酸爽?


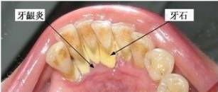
通常先有牙菌斑后有牙结石!而形成牙结石有4种因素,一是食物残渣,二是唾液环境,三是细菌,四是长时间,大多长在牙龈边缘,部分人牙结石过大,洗牙时感觉牙齿要碎了,但牙结石不单单长在牙龈上,牙周炎患者牙龈下也会有结石,平时刷牙经常出血,有可能是牙结石所致。


1

那大块牙结石掉了怎么办?



正常来说,牙结石几乎不会脱落,只会越长越大,而且牙根变得更长,刷牙只是起到预防,根治要用洗牙来搞定,如果拖着不去洗牙,只会让牙龈发炎,刷牙时满口都是血,加上牙周炎会缠住你,到时牙齿松动,说明离牙齿脱落不远了。



2

牙结石为什么会引起口臭?



食物残渣在口腔环境下发酵,跟细菌反应分解一种酶,形成一股臭鸡蛋味的气体,牙结石越大口臭就会越严重,每天睡觉前长期不刷牙,你会发现牙结石正在慢慢变硬,因为牙菌斑在1~2小时很快增厚,超过10天晚上不刷牙,估计牙结石和牙齿融为一体了。


3

洗掉这么大块的牙结石,全过程是怎么样的?



第一,口腔消毒,药水漱口30秒后吐出;

第二,超声波洗牙,震碎每颗牙齿表面的牙结石,可能会感觉酸酸的;

第三,喷砂,喷出来的水雾增加盐成分,针对牙缝死角深一层清洁;

第四,抛光,牙齿表面更光滑,洗牙后食物残渣不轻易粘在牙齿表面;


很明显大块牙结石掉了,吃冷热酸甜的东西牙齿会受刺激,不过3天后可恢复正常。


上一篇:吓人!22岁女生牙齿上长满“苔藓”,再也不敢这样刷牙了……
下一篇:吃饭总塞牙?问题出在那里?