如果牙齿劈裂已经发生,怎么办?
导读:
在这样的疑问,为什么我做完根管治疗之后,医生还建议做一个烤瓷牙呢?医生这样建议,究竟是真的为我好,还是想让我多花钱呢?
为什么做完根管治疗后,我们要做烤瓷牙冠?

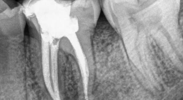
1、根管治疗是以药物以及器械的操作来将根管内的残渣以及细菌尽可能地清除消毒干净。然而,这样的消毒过程如果要认真的进行,却必须去除掉不少被细菌感染的牙齿,以及不得不修整的牙体组织。所以大部分的牙齿一旦进行根管治疗,则可能不太足够支持咀嚼的力量而可能断裂,单纯用材料已经没法恢复功能,即使能恢复长远效果也不好。
2、经过根管治疗后的牙齿失去了来自牙髓的营养供应,就像失去树根的树木一样,慢慢枯萎变的很脆弱,造成牙齿的脆性增加,易劈裂。

3、因为需要进行根管治疗的牙齿一般已是龋病(虫牙)、缺损很大,这时虽然根管治疗完成,但是其所剩的牙体组织是很脆弱的,非常容易折断、裂开,失去正常的功能,单纯用材料已经没法恢复功能。
如果牙齿劈裂已经发生,怎么办?

1、仅仅个别牙尖或少部分牙劈裂,剩余的大部分牙体稳固,没有咬合疼痛,拍牙片无根尖病变!
需要的治疗:可将劈裂的活动的部分拔掉,再做冠修复。
2、若劈裂刚刚发生,部位在牙体中央,两部分都不松动,不疼痛,牙龈无红肿,无咬合痛,拍片根尖部位无病变。
需要的治疗:可将牙齿劈裂的两部分结扎牢固后,再做冠修复。
这种方法不能保证百分之百成功,医生操作起来很麻烦,不是所有的医生都愿意做。

3、如果劈裂在牙齿的正中,活动比较明显,再加上有肿痛等症状。
需要的治疗:一般就必须要拔除了。拔除三个月后可根据适应症,选择种植义齿、活动义齿或固定义齿修复。这时候,拔牙再加上镶牙的费用,远远超过做个冠修得的费用了!
根管治疗后冠修复更能省钱!

根管治疗后的牙齿千万不要为了省钱而不做冠修复,一旦牙齿劈裂,哪怕有机会做冠修复,也不是原先完整的牙齿;如果劈裂严重,拔牙后再镶牙,不仅要多花不少钱,而且镶上的也不是自己的原装牙!
那既然如此,何不在一开始做完根管治疗后,直接做个烤瓷冠或是全瓷冠,直接把牙齿保护起来呢,至少一开始保护的还是一个完整牙!

所以,根管治疗后的冠修复,就是在牙齿完整的基础上,更省钱的一种方式!
有人可能会说,那如果根管治疗后,我尽量小心翼翼的使用,不让牙齿劈裂不就行了嘛!
当然可以,同时我们也要清楚,牙齿作为我们身边的一部分,本来就是为我们服务,如果我们连正常咀嚼,正常随性的吃东西都做不到的时候,是不是会感觉很悲伤呢?
患者又该如何选择牙冠?

现在非常普遍的烤瓷牙冠外形逼真,不变色,使用时间长,能够更好的保留经过根管治疗后的牙齿。烤瓷牙冠基本分两种:一种是金属的,一种是全瓷的。
因为牙齿没有了神经,就失去了活力,没有了营养的供给,牙体会逐渐变黑,影响美观。而全瓷牙的色泽无论在灯光下和自然光下都能保持自然色,因此备受影视明星和公众人物的追捧。全瓷冠具有良好的生物相容性,不会给口腔环境带来影响,可以在口腔内永久保存。因其材料是由全瓷材料组成,放置在口腔内,牙龈周围不会有难看的黑线出现,美观效果极佳。

相对来说,金属烤瓷牙的效果会有点不尽如人意。因为如果做的时间长了,金属就容易被氧化,被氧化后的金属离子游离出来,就会使牙龈边缘出现黑线。况且有些金属会刺激牙龈,对人体是有害的。所以,不管是从美观角度还是健康立场来说,医生都建议大家选用全瓷的烤瓷牙来保护根管治疗后‘脆弱’的牙齿。
根管治疗之后的牙齿,要小心呵护

1、避免咬硬物。虽然牙齿在根管治疗后基本恢复了咀嚼功能,但是失去了牙髓,牙齿比以前要脆弱很多,而且对于烤瓷牙冠来说,尽量避免咬硬物。

2、刚做完根管治疗,由于失活剂的刺激,牙齿会有些许的不适应感,如果经过短期时间不适感能消失,则属于正常反应。等过了一段时间,如果牙齿出现疼痛、红肿的现象,这时一定要及时去医院检查治疗。
3、做了根管治疗,患牙恢复健康,但是因为整体的口腔卫生状态没有发生改变,牙齿之后还是会出现病症。因此,做完根管治疗,戴上牙冠加以保护后,依然要多注意口腔卫生的情况,做到早晚刷牙,饭后漱口,养成良好的卫生习惯。
结语:
最后再说一下,尽管根管治疗之后的牙齿看似得不如以前坚强,但是终究还是我们自己最真实的牙齿。有些人嫌根管治疗又麻烦又贵,而请牙医拔牙,其实这种做法一般情况下是不推荐的。因为就算拔掉患牙,暂时的痛楚是避免了,但缺牙也有缺牙的危害,到那时,你还是要镶牙、种牙,不仅费时费力费钱,而且最终修复的义齿效果再好也比不上天然牙用得舒服,不是吗?


