牙周病,牙齿缺失的一大“凶手”!

何为牙周病?

牙周病是指发生在牙支持组织(牙周组织)的疾病,包括仅累及牙龈组织的牙龈病和波及深层牙周组织(牙周膜、牙槽骨、牙骨质)的牙周炎两大类。牙周疾病是常见的口腔疾病,是引起成年人牙齿丧失的主要原因之一,也是危害人类牙齿和全身健康的主要口腔疾病。

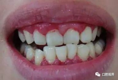
牙周病的早期症状不易引起重视,造成牙周组织长期慢性感染,炎症反复发作,不仅损害口腔咀嚼系统的功能,还会严重影响健康。

其实说这么多专业术语大家一定不明白,举个例子 

好比大树失去了泥土,大树会慢慢倒掉,牙齿失去了骨头的支持,牙齿就会脱落,这就是牙周病称为人类牙齿缺失的第一大 “凶手”。

一般认为,牙周炎占拔牙原因的30%~44%,是成人失牙的首位原因。有些中重度牙周炎还可出现牙齿疼痛和牙龈肿胀等症状。更重要的是,牙周病对人体健康的影响远不止于口腔局部,牙周病尤其是牙周炎可影响患者的全身疾病和健康。

牙周病有哪些危害?

1.糖尿病患者中牙周炎的发生率和严重程度均高于非糖尿病人群尤其是血糖控制不佳的糖尿病患者。如果对牙周炎患者施以彻底有效地牙周治疗,可改善II型糖尿病患者的病情,使其胰岛素用量减少;血糖控制后,牙周炎的情况也会有所好转。

2.心脏病和脑中风患牙周炎时,导致牙周局部慢性感染的细菌及其毒性产物可进入血流中。这些细菌和毒性产物会增加和加重动脉硬化和血栓形成过程,使牙周炎成为感染性心内膜炎、冠心病、心梗和脑中风发生的危险因子。

3.对孕妇的影响

最新研究表明,牙周病对孕妇的影响甚至超过了吸烟和喝酒,患病孕妇的早产率是正常孕妇的7.5倍。许多妊娠期的妇女都知道吸烟、喝酒对胎儿的危害,但却对牙周炎等口腔疾病对胎儿的影响知之甚少。专家说,孕妇患牙周病可能引起早产,牙周病如同吸烟、喝酒一样影响胎儿的发育。

4.呼吸道感染

牙周炎患者牙周致病菌可直接进入呼吸道和消化道,使一些全身抵抗力低的人群成为“易感者”,是“易感者”患肺炎、慢性胃炎和胃溃疡的危险因子。

那快诉我怎么预防牙周病吧····下面请听小编介绍一下引起牙周病的原因有哪些?

1
局部因素

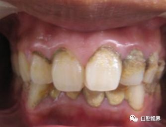
(1)菌斑:是指粘附于牙齿表面的微生物群,不能用漱口、水冲洗等去除。现已公认,菌斑是牙周病的始动因子,是引起牙周病的主要致病因素。

(这些紫红色的就是牙菌斑)

(2)牙石:是沉积在牙面上的矿化的菌斑。牙石又根据其沉积部位和性质分为龈上牙石和龈下牙石两种。龈上牙石位于龈缘以上的牙面上,肉眼可直接看到。在牙颈部沉积较多,特别在大涎腺导管开口相对处如上颌磨牙的颊侧和下颌前牙的舌侧沉积更多。龈下牙石位于龈缘以下、龈袋或牙周袋内的根面上,肉眼不能直视,必须用探针探查,方能知其沉积部位和沉积量。牙石对牙周组织的危害,主要是它构成了菌斑附着和细菌滋生的良好环境。牙石本身妨碍了口腔卫生的维护,从而更加速了菌斑的形成,对牙龈组织形成刺激。

(3)创伤性咬合:咬合时若咬合力过大或方向异常,超越了牙周组织所能承受的合力,致使牙周组织发生损伤,称为创伤性咬合。创伤性咬合包括咬合时的早接触、牙合干扰、夜间磨牙等。

(4)其他:包括食物嵌塞、不良修复体、口呼吸等因素也促使牙周组织的炎症过程。

2
全身因素

全身因素在牙周病的发展中属于促进因子,全身因素可以降低或改变牙周组织对外来刺激的抵抗力,使之易于患病,并可促进龈炎和牙周炎的发展。全身因素包括有:

(1)内分泌失调:如性激素、肾上腺皮质激素、甲状腺素等的分泌量异常。

(2)饮食和营养方面:可有维生素C的缺乏、维生素D和钙、磷的缺乏或不平衡、营养不良等。

(3)血液病与牙周组织的关系极为密切:白血病患者常出现牙龈肿胀、溃疡、出血等。

(4)血友病可发生牙龈自发性出血等。

(5)某些药物的长期服用:如苯妥英钠可使牙龈发生纤维性增生。

(6)某些类型的牙周病:如青少年牙周炎患者往往有家族史,因而考虑有遗传因素。

牙周病的症状?

早期症状:

早期自觉症状不明显,常只有激发生性牙龈出血或口臭的表现,与龈炎症状相似。检查时可见龈缘、龈乳头和附着龈的肿胀、质松软,呈深红色或暗红色,探诊易出血。

中后期症状:

①牙周袋形成:由于炎症的扩展,牙周膜被破坏,牙槽骨逐渐吸收,牙龈与牙根分离,使龈沟加深而形成牙周袋。可用探针测牙周袋深度。X线检查时可发现牙槽骨有不同程度的吸收。

②牙周溢脓:牙周袋壁有溃疡及炎症性肉芽组织形成,袋内有脓性分泌物存留,故轻按牙龈,可见溢脓,并常有口臭。

③牙齿松动:由于牙周组织被破坏,特别是牙槽骨吸收加重时,支持牙齿力量不足,出现牙齿松动、移位等现象。

牙周病如何治疗?

1

基础治疗

这是牙周病常规的治疗方法,清除或控制临床炎症和致病因素,去除病因,消除炎症。包括口腔卫生宣教、充填龋洞、口腔洁治刮治、牙体牙髓治疗、咬合调整、去除不良修复体、药物治疗、拔除治疗效果不佳的牙周病患牙等。

2

牙周系统治疗

牙周炎发展到一定阶段时,仅采用基础治疗难以取得较好疗效,必须通过适时而合宜的手术治疗挽救患牙,其手段包括龈下刮治、根面平整、牙周翻瓣术、牙龈切除术、牙周夹板固定术等。

3

修复治疗及松牙固定

牙齿松动疼痛妨碍修复体咀嚼功能、炎症性的牙周组织损害基牙、牙周炎症时牙齿位置不稳定、牙龈炎症未消除取模不准确、修复体冠边缘必须建立在健康牙龈沟内,通过修复治疗,恢复牙周组织功能。对于能够保留的松动牙齿,有必要进行松牙固定术。

4

其他治疗

①美容手术:针对牙龈增生、影响美观效果的患者,进行牙龈的美容切除手术,修整牙龈的形态,恢复美容效果。

②牙冠延长术:在口腔修复治疗中,一些患者的牙根条件略差,直接修复无法完成,需要通过牙周手术延长牙冠,创造修复条件

牙周病的预防?

1.关键是控制和消除牙菌斑,目前最有效的方法是每天坚持正确刷牙,按摩牙龈,促进牙龈血液循环,增强牙龈组织的抗病能力。注意锻炼身体,增强机体免疫力。

2.除去局部刺激因素,清洁牙齿和刮除牙周的牙石、牙垢,矫正不良修复体及矫治食物嵌塞,基本可治愈。

3.补充含有丰富维生素C的食品,可调节牙周组织的营养,有利于牙周炎的康复。

4.牙周病发病后应积极治疗,初期疗效尚好,晚期疗效较差,可丧失牙齿。


上一篇:4种常见口腔疾病如何区分处理?“逼疯”无数妈妈!
下一篇:牙龈出现白脓包,什么情况?