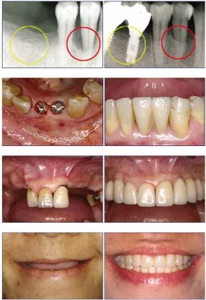
你的牙齿也可以做种植牙吗?

种植牙也叫人工种植牙,并不是真的种上自然牙齿。它是将与人体骨质兼容性高的生物材料(一般称作种植体)植入牙槽骨中,然后在种植体上做出假牙的一种修复方式。

种植牙以无需磨损邻牙、咀嚼功能强大、生命力更长久、自然逼真被称为人类的第三副牙齿,已经逐渐成为当今国际口腔医学界公认的缺牙首选修复方式。
种植牙的稳定性:种植牙不会象普通活动假牙在吃饭或说话时可能发生脱落造成堵住气管或食道的危险。

种植牙的安全性:人工牙根深植于牙槽骨内,对牙槽骨有功能性刺激,能保护牙槽骨结构,避免其萎缩。

健康牙完全保留:健康的牙齿可以完全保留,不需要磨掉邻近健康的牙齿。

稳固的人工牙根:良好的固位和稳定作用可增加舒适感,咀嚼功能大大优于其它假牙。

种植牙使用年限:人工植牙可以有很长的寿命,一般使用期限超过40年,在保护良好的情况下可以终生使用。

普通人工种植牙的治疗及修复大致分为三个阶段:
(1)术前准备阶段。如拔掉残根、龋齿、治疗牙周病及去除不良假牙、调改和纠正不良咬合关系等。

(2)种植体植入手术阶段。您的医生根据术前设计方案,通过手术将种植体植入骨内。手术通常在局部麻醉下进行,手术时间约为10分钟到1小时。

(3)种植义齿修复阶段。术后三至六个月,安装恒久牙冠或义齿。进行取模、义齿制作、戴牙等工作。
身体健康均可不受年龄限制而接受人工植牙。
在记录上,有超过90岁的患者成功接受人工植牙的例子。
不过骨胳尚未发育完成的青少年,反而不适合种牙。
研究表明,许多种植牙实际上比真牙还要更稳固。
比起活动义齿,研究表明种植牙获得了100%的咀嚼效率的恢复。
种植牙能维持多久,是病人首先关心的事情,也是种植医师关心的问题。
一般来说,牙种植后只要注意使用,可以长期使用。
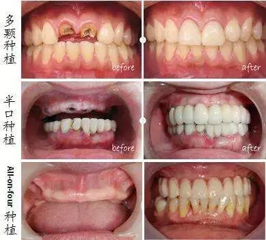
一般情况下,年龄在70岁以下身体健康的成年人,单个牙缺失,部分牙缺损,全口牙缺失的患者,经临床检查条件符合者均可做牙齿种植修复。
有下列疾病患者,不宜做牙齿种植:心脏病、血液病、高血压、糖尿病、肾功能障碍、内分泌系统疾病、严重的骨质疏松症、恶性肿瘤、精神不正常者以及高水平用化疗、激素、抗凝剂等对骨质的化谢和整合有影响的药物期间者,不能进行种植牙手术。

局部牙龈炎症以及附近牙齿的炎症都会影响所种植牙根的整合,甚至导致手术失败。
口腔清洁:种植牙有类似天然牙的牙体与牙周关系。所以要像爱护真牙一样,早晚刷牙,保证口腔的清洁环境。

饮食习惯:尽量避免吃太硬的食物,因为种植牙也会和真牙一样受到磨损。

定期洁牙:种植牙后应该定期到口腔医院进行洁牙,去除平时刷牙无法清除的牙结石和牙菌斑,从而维持种植牙的长期清洁和稳定。


在下定决心种植牙前,肯定会有犹豫,与其在屏幕前犹豫不决,不如识别下方微信二维码联系预约咨询!

