很多有整形争议的明星,在被问到整容的时候,都以“牙齿矫正、整牙、拔智齿”等等为借口...
但明星们常说的整容等于整牙,也并不是完全胡扯...刘涛的一口烤瓷牙,伊能静、小岳岳、毛不易的牙齿矫正等等。
不过牙齿美容也不能心急,我们该如何选择适合自己的牙齿美容项目呢?
洁牙又称洗牙,利用超声波洁牙机的高频震动,让沉积的牙结石受到震动而松脱,就是给你的牙齿做一个大保健。
洗牙可以去掉牙齿表面的牙结石、牙垢和表面的一些色素,让你的牙齿看上去干净些。
除了保健的功效,洗牙还是“牙周基础治疗”的重要组成部分,是治疗牙龈炎、牙周炎的手段之一!
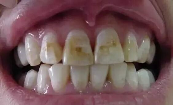
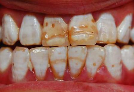
如果牙齿颜色已经发黄(吸烟、喝咖啡等容易造成),洗牙当然已经不够了,很会美的昆凌在《康熙来了》,就自曝牙齿有漂白过
她说的漂白就是冷光美白,冷光美白是用高强度蓝光,经由特殊光学处理照射以“过氧化氢”为主要成分的美白剂发生氧化反应,把牙齿的色素置换出来
基本牙齿能提高2-3个色阶不等,能够维持1-2年,并不永久,维持时间取决于你对牙齿的维护,一般做完1-2天以后牙齿会处于敏感期,而且后期尽量不要喝茶、咖啡等有色食物。
它适合本身比较健康的牙齿,只是去色素。且不能经常做,半年做一次。
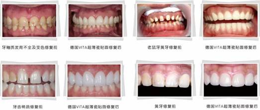
牙齿贴面,就是把牙齿表面磨掉1mm、甚至不磨,贴上白白的一层薄片,牙齿看起来就很洁白。
牙贴面的材料,分为三种:瓷贴面、树脂贴面和硬质贴面。
三种贴面相比较,
从效果看
,瓷贴面非常好,硬质贴面次之。
从费用上看
,树脂贴面相对便宜,瓷贴面贵,可以根据自己的要求和经济条件作出选择。
曾经就有一个25岁男子,因为喝太多可乐牙齿掉光~听的人好怕怕啊~~
对于这些色素沉着很深一般的牙齿美白项目解决不了,甚至牙齿缺损严重的都可以通过牙齿贴面来改善。
但不适用于唇向或舌向错位的牙齿或者牙齿咬合异常,以及牙齿间距离超过2毫米以及有夜磨牙习惯的人。
一般人28-32颗牙,把上下12颗牙(会露出来的牙齿,后槽牙神马的一般犯不着)全部磨小了,套上全瓷冠。wuli刘涛就做了全口的烤瓷牙,不信可以去翻她微博~
其实烤瓷牙:是由一层金属和一层陶瓷加工而成的人工义齿,特点就是价格便宜,美观度还行。
还有另一种是全瓷牙:整个牙都是由高强度瓷材料制成,半透明度与天然牙近似,比起烤瓷牙这个价格更贵,但是更加美观,而且对牙周组织刺激较小。
明星因为要上镜好看而且还要迅速让牙齿变白变整齐,所以选择烤瓷牙(全瓷牙)可以理解,娜扎牙齿变整齐后颜值更上一层楼了。
来让你们感受一下裸奔的牙齿是怎么穿上华丽的外衣的
ps:如果牙齿有不整齐等问题,建议还是先来基础款,能做贴片就不要做全冠烤瓷牙,对牙齿伤害比较大!
正畸治疗主要通过各种矫正装置来调整面部骨骼、牙齿及颌面部的神经及肌肉之间的协调性,也就是调整上下颌骨之间,上下牙齿之间、牙齿与颌骨之间和联系它们的神经及肌肉之间不正常的关系,最终达到口颌系统平衡、稳定和美观。
如果不想要一口难看的钢丝牙套,现在的隐形牙套也能让你的牙齿在不知不觉中变美。
牙齿和我们的脸一样,有一些问题出现就要及时治疗,但是也要对症下药哦,要不然会适得其反,希望大家都有一口美美的牙齿!
?