牙齿上的“黑三角”你注意到了吗
“黑三角”?这名称听起来让人心里发酥。不过,这里小编说的是牙齿上的“黑三角”,虽然现实没有听起来那么“恐怖”,但口腔健康问题也不容小觑。通过本文,我们一起来认识牙齿“黑三角”。
牙齿上的黑三角?
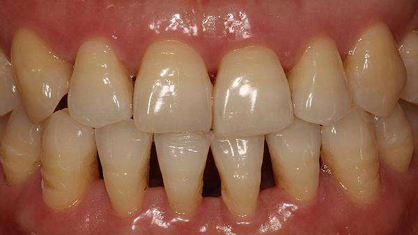
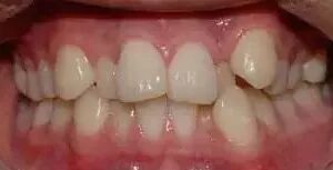
当牙龈不能完全覆盖两个牙齿的牙颈部与接触点之间的间隙时,就会发现在两颗牙齿之间出现了一个黑色的,空洞的三角形——专业称为龈外展隙,俗称"黑三角"。
牙齿黑三角的危害
虽然说外观的不好看是爱美人士厌弃“黑三角”的首要原因,但是黑三角最大的危害并非是它不好看甚至“说话漏风”,而在于其无法自我修复,并且可能越来越严重。由于有了这个额外的空洞,很容易造成食物嵌塞,更是给细菌营造了一个良好的储存环境,这对口腔健康大大不利。

黑三角产生的原因
1
牙周炎

牙周炎会导致牙龈萎缩、牙槽骨吸收,是导致黑三角形成的主要原因之一。
如果你平时不注重口腔卫生,没有养成正确刷牙、使用牙线、定期洗牙的习惯,牙结石就会堆积,为菌斑的进一步积聚和矿化提供理想的表面。
菌斑与牙龈紧密接触,引起牙周炎,牙结石的多孔结构又容易吸收大量的细菌毒素,从而引发牙周软硬组织的退缩。
2
牙冠形态
黑三角多发生于前牙区,后牙区很少。这是因为下颌前牙区的牙齿,牙冠形态相对长和窄、呈三角形,接触点的位置就会很高,拉长了到牙槽嵴顶的垂直距离,所以更容易发生黑三角。
3
牙齿拥挤

当牙齿拥挤不齐时,牙龈处于萎缩状态,当牙齿排列整齐后感觉牙齿间有黑三角,其实并不是戴牙套所造成的,而是牙龈本身状态既是如此。另外,牙齿拥挤,不存在正常的生理性磨耗,等牙齿排齐后,邻接点更靠近合方,牙龈处黑三角就出现了。
4
年龄增长
随着年龄的增长,牙龈乳头高度每年平均降低0.012mm,黑三角的发病率也会增加。(20岁以上戴牙套比20岁以下更易发生黑三角)
5
不正规操作
矫正力过大引起牙龈萎缩,出现黑三角,尤其是成年人,所以要更加注意轻力原则。另外,拔下前牙矫正一定会出现黑三角,因为在关闭拔牙间隙时牙根很难平行移动
如何预防牙齿出现“黑三角”呢

全面地清洁牙齿
我们了解到黑三角的产生主要是由于牙齿清洁不到位,继而产生了菌斑、牙结石,让牙龈进一步萎缩。所以,如果多加注意牙齿的清洁,是能够有效减少黑三角产生的。另外为了保持牙齿的干净,除了要刷牙外,还应当借助牙缝刷、牙线等工具,正确而全面地清洁牙齿。
洗牙
黑三角产生,还有一个可能就是牙齿里长了结石。此时,牙刷、牙缝刷和牙线等工具已经无法去掉牙结石。那就代表需要洗牙了,全面深层地清洁牙齿,能够有效预防黑三角的产生。
向牙医咨询
在矫正过程中有什么疑问都要和医生进行沟通,方便及时把问题反馈给医生,也能有效减少治疗过程中因操作失误或用力过猛导致的黑三角。即便出现了,也能够进行微小的邻面去釉来关闭间隙,进而消除黑三角。

