完全不懂,补牙材料那么多,到底怎么选?
医生,我已经补牙了,牙为啥还疼啊?
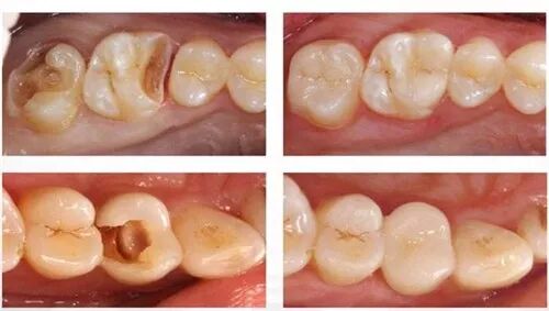
我刚补的那颗牙这几天总是酸酸的,咋回事?
医生,我补的牙总是酸痛,是不是我用的材料有问题啊!
作为医生,可能经常会面临患者的这类问题——刚刚补过的牙,牙齿就产生了酸痛的感觉,是不是医生没有把牙齿治好啊。
其实,补牙后的牙齿不适,多数是正常现象,只有极个别是预示着牙齿还有其他问题。那我们该如何辨别呢?今天,小编就给大家分析一下。
常见的补牙材料主要有:银汞合金、复合树脂、玻璃离子水门汀等等,材料不同,对牙髓的刺激性、软化牙本质有再矿化作用、修复性牙本质的形成、能够负担的咀嚼压力等都各不相同。
1.银汞合金
是汞和银锡合金粉相互作用的汞齐化合物,多用于需承受牙合力的I类、II类洞和不必考虑美观的V类洞;用于套卡环基牙的洞;牙体桩冠修复的桩核或全冠修复的内层充填体。

2.复合树脂
是在有机的合成树脂内加大量的经特殊处理的无机物的充填材料,目前最为常用。
多用于III类洞、V类洞的充填;也有高强度的复合树脂可用于后牙I类、II类洞的充填。
采用粘结技术也可修复IV类洞和严重牙体缺损的患牙。
光敏固化复合树脂,其色泽稳定,粘结性强,特别适宜前牙美齿修复;
化学固化复合树脂,操作简便,虽有轻度色泽改变,用于后牙及前牙舌(腭)侧洞也是适宜的。

3.玻璃离子聚合粘固粉
是一种对牙髓刺激轻,对牙体硬组织有粘结性,但强度较银汞合金低的多用途材料。适用于III类、V类洞,用于乳牙充填,作窝洞封闭剂以预防龋病。
4.磷酸锌粘固粉
又称恒久粘固粉、锌水门汀。
作深洞双层垫底的上层承力材料,半年以内的窝洞封闭材料,也用于牙体修复的冠、桥修复。

5.丁香油氧化锌粘固粉
又称暂时粘固粉、丁氧膏。
作深洞双层垫底的底层不承力材料,或不承力的单层垫底材料,作1~2周的窝洞临时封闭材料,也用作根管充填材料,加入赋形剂作为牙周塞治剂。
6.氢氧化钙粘固粉
是一种新型护髓衬底材料。用于III类、V类洞的垫底材料,用作复合树脂阻断对牙髓刺激的护髓衬底材料及作直接和间接盖髓剂。
7.牙胶
加热40°C变软,有可塑性,冷却后变硬。用于根管充填辅助材料,可暂封窝洞,或加热后作牙齿的温度测验。

8.嵌体
嵌体是在口外石膏模型上由专门的牙科技师制作出来的,然后再由临床医生将其戴入患者口内,最终粘固形成的。
嵌体在形态、硬度等各方面与牙齿吻合度很好,可以很好恢复原来牙齿的外形及咀嚼效率,这是传统补牙无论如何都无法比拟的,所以嵌体价格相对较高。

这里,我们举一个例子,即小部分患者对银汞充填物的过敏反应
一般人很少会对银汞充填物过敏,但如果你过敏了,可能是由于银汞合金充填物中的汞或者某些金属引起的。
这种过敏和普通的皮肤过敏一样,会出现皮疹或皮肤瘙痒。一般来说,对银汞合金过敏的患者都有家族遗传史,在确定是过敏反应的情况下,可以选择更换充填材料。

提醒大家,为避免因为材料不适合自己导致的牙齿酸痛,补牙需要根据蛀牙位置、大小,在专业牙医建议下选择安全有效、稳固美观并且最适合的材料。
补过牙之后,有些人会对冷热刺激有酸酸的感觉,这是正常的现象,通常这些症状会在1周后消失。

如果2-4周后这种疼痛感觉没有消失,甚至是越来越剧烈,你就需要看牙医了。医生会根据牙齿的情况,可能会建议你使用脱敏的牙膏,或者给你的牙齿做脱敏处理,或建议你做牙髓治疗。
为了避免刺激补过的牙齿,补牙之后,要吃硬度和温度适中的食物。如果只是牙齿酸痛,是没有必要吃止疼药的。如果疼痛难耐,那就需要看医生了。
充填物周围疼痛
这种疼痛的方式有很多,每个疼痛的原因都是不同的。
牙齿咬合痛:在麻药作用消退之后,此类疼痛就会出现,一般来说,这表明 充填物影响了咬合,可以让牙医调一下充填物的高度。
冷热刺激痛:牙齿受到冷热刺激时出现疼痛,冷热刺激源移除后,疼痛就会 消失。如果冷热刺激移除后疼痛仍然持续,这说明你的牙髓已经有了不可逆 的损坏,需要去看牙医。
牙齿隐隐跳痛:如果牙齿龋洞很深,一直到了牙髓,那么就会出现这种疼 痛,表明牙髓已经被感染。
充填物老化
补牙时间长了,牙齿里的充填物会磨损或崩裂。你自己可能感觉不到充填物被磨耗,但是牙医可以在常规的口腔检查中发现问题。
如果充填物和牙齿釉质间粘接不密合,食物碎屑和致龋细菌会在缝隙内繁殖。你的牙很有可能还会出现另外一个龋洞,如果不及时治疗,还会伤及牙髓,甚至引起牙根尖部脓肿。
所以,别以为补过的牙就可以一劳永逸,定期检查还是非常重要的。

如果原本牙齿充填的范围很大,继续在旁边发展的蛀牙也很大,很有可能会使你的牙齿没有足够的牙组织支撑充填物。发生这种情况的话,牙医一般会给你做个牙冠来保护充填物。
正确辨别补牙后的不适
有问题还需及时看医生

