总是半夜磨牙,究竟是为什么?
磨牙 打鼾 说梦话
如果要给不良睡觉行为打分,磨牙、打鼾、说梦话这三个肯定排名前三:
其中,打鼾和说梦话,第二天多半要遭别个投诉;磨牙就更恼火了,那种“吱吱吱”的声音,让人有种毛骨悚然的感觉,可能要直接遭别个摇醒。
不过,既然跟大脑扯上关系,下头这些可能引起磨牙的危险因素就好理解了:
▪社会压力大
▪情绪上容易急躁、焦虑
▪某些中枢神经系统疾病
▪睡眠质量差
但是,也是因为跟大脑扯上了关系,一个让磨牙的人有点沮丧的推论就有了:
不管你在脸上贴好多个电极片,在嘴里塞好厚的垫,或者吃啥子神药,都不可能让磨牙完全停下来。
没得治了?
当然不是。
有的人磨牙,除了身边人抱怨,没得任何不舒服的感觉;
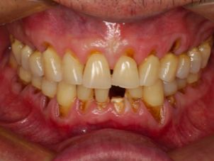
有的人磨牙,牙齿过度损耗,牙本质暴露、冷热敏感、食物嵌塞……
牙齿重度磨损
广泛楔状缺损
牙齿隐裂
牙槽骨增生
有的人磨牙,吱吱作响,感jio声音可以穿透房顶;
有的人磨牙,悄咪咪的,除了医生有可能连他个人都不晓得……
乱扯!没得声音算啥子磨牙。
emmmmm,还真算,除了仪器检查,医生还有个杀手级问题:“你早上醒来的时候,牙齿有没有ao得bang紧?”
紧咬牙和左右磨动牙,都是夜磨牙的一部分。
磨牙的核心是咀嚼肌不自主收缩。
有的人磨牙,有时候活跃,有时候安静,算是偶尔为之;
有的人磨牙,夜夜如此,还要打鼾、说梦话,简直就是惯犯;
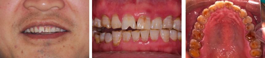
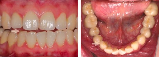
有的人磨牙,只能在牙尖上过度磨损的磨耗面上找到“犯罪证据”;
有的人磨牙,看一眼双侧肥大的咬肌,就晓得咀嚼肌每天晚上都在做运动;
啥子叫肥大的咬肌?
通俗点说,就是“腮帮子比较大”。
有的人磨牙,除了牙齿上有点痕迹,关节和肌肉,都很正常;
有的人磨牙,牙齿没得啥子磨损,但是两边脸包儿酸胀,还可能疼痛……
夜磨牙分析和诊断的金标准是多导睡眠测量仪,说简单点,就是接上各种检测线,在检查室睡一晚上。
当然,还有一些更简单的检查方法,比如用一个表面涂色的膜片制成咬合板,戴起睡一觉,就晓得磨牙产生的是有害磨耗还是无害磨耗了。
虽然都是磨牙,但是“磨”与“磨”是不一样的,处理的目的,不是让“磨”停下来,而是保护牙齿、牙周、肌、关节这些结构的健康。

