牙齿不齐,下巴不美观,能通过整牙改善吗?
在人类漫长的进化过程中,咀嚼器官逐渐退化,颏部的轮廓和凸度逐渐明显。颏部是人类区别于其他灵长类动物的外貌特征,甚至被一些人类学学者称为是“现代人类的名片”。
尼安德特人已经初现下巴雏形 | Wikipedia
人类的近亲黑猩猩却没有下巴 | Wikipedia
前突或后缩的颏部会影响人的外貌。颏部形态良好,并和鼻、唇关系协调,是容貌美的重要标志之一。
怎样判断面部是否美观协调呢?一个简单粗暴的方法就是从鼻尖到下巴最凸点做一条连线,可以用尺子、笔来比划,如果上下嘴唇在这条连线稍后方,就是标准美观的侧脸。
图 | 图虫创意
由于黄种人鼻尖、颏部的立体度大多不如西方人,上下嘴唇与这条线轻轻接触也是美观上可以接受的面型。
如果上下嘴唇在这条线前方,面容就过凸。
图 | 图虫创意
如果在这条线后方较多,就是凹陷的面型。
图 | 图虫创意
需要判断的另外一点就是面部对称性,可以照镜子或看证件照来判断。轻微的面部不对称大多数人都存在,然而明显的颌骨、咬合平面不对称,会存在较大的美观问题及功能隐患。
有些颏部不美观可以通过整牙,也就是口腔正畸来改善。作为一枚正畸医生,每天都会接受各位大小朋友们的灵魂拷问:“医生,我这种情况需不需要做矫正?”下面是几种可以通过口腔正畸改善的情况,赶紧拿起镜子自查下吧。
牙齿排列问题
1.牙量-骨量不协调问题:牙齿拥挤、牙列间隙(牙齿稀疏)。
产生这两类问题的主要原因是牙齿大小、数量和牙床大小不匹配。比如牙床较小,无法容纳所有牙齿就会出现牙列拥挤,而如果牙床过宽,或牙齿过小、有先天缺失牙就容易出现牙列间隙。较严重的拥挤不仅影响美观,也会影响牙齿清洁,增加龋齿的风险。

牙齿拥挤 | Balle & Associates
牙齿稀疏 | Balle & Associate
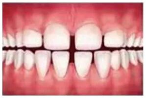
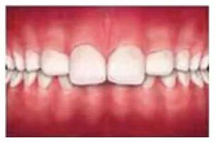
2.牙齿前后方向的排列问题:深覆盖(门牙前突)、反合(地包天)
如果上牙列相对前突或下牙列相对后缩,就会出现前牙深覆盖的问题,反之就会出现反合(地包天)。

门牙前突/深覆盖 | Balle & Associate
地包天/反合 | Balle & Associate
这两种畸形不仅影响颜值,也会使得前牙无法正常咬合,影响咀嚼功能。另外门牙前突还会大大增加上前牙外伤的风险。
3.牙齿垂直向的排列问题:开合,深覆合
正常的前牙咬合应该为后牙咬紧时,上前牙覆盖下前牙的约1/3。
如果上下前牙无法咬合即为开合,会带来前牙无法切割食物的问题。

开合 | Balle & Associate
反之如果上下前牙咬合过深(上前牙咬的位置超过下前牙长度的1/3)即为深覆合。此时虽然前牙可咬合但由于咬合过紧容易导致前牙受力过大或过度磨耗的问题。

深覆合 | Balle & Associate
4.牙齿横向的排列问题
比较常见的问题是牙床狭窄,是由于牙弓横向宽度不够导致牙床没有位置容纳牙齿,牙床狭窄也常伴有牙齿前突、拥挤等问题。

牙床狭窄:黑线所示为牙弓横向宽度 | 文献[2]
而刚刚提到的牙量-骨量不协调出现牙齿拥挤,则可能是由于牙弓前后方向位置不够,也可能是横向宽度不够,或者是两个因素混杂在一起而出现的。
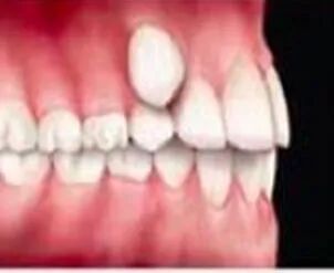
5.个别牙严重错位的问题
比如牙齿阻生,个别牙反合,个别牙齿角度严重倾斜、移位(在长期缺牙、严重牙周炎患者中较为常见)会引起牙齿的受力异常,从而影响牙齿寿命。
牙齿移位 | doctoruldedinti.info
总的来说,如果没有严重的颌骨畸形,主要是牙齿排列问题导致的颏部不美观,正是正畸治疗最擅长的领域。
正畸的改变能有多大呢?还记得孙杨几年前的“鲨鱼牙”吗?再看看大白杨整牙后的照片,不仅牙整齐了,颏部也变得更漂亮了。

图 | 图虫创意、微博截图
轻、中度颌骨畸形
很多情况下,颏部不美观不仅仅是牙齿本身的排列异常导致的,常常还伴有颌骨的发育问题。通过正畸治疗来改善颌骨发育问题最有名的例子之一就是Angelababy啦。
下图来自图虫创意
可以看到她正畸治疗前存在上唇前突、下巴后缩的面部美观问题,而通过拔牙矫正内收了前牙之后,颏部形态更加明显,面部的凸度也得到了很大改善。
但是颌骨问题能否通过正畸治疗改善,主要取决于年龄及颌骨畸形程度。青少年的颌骨存在生长及改建潜力,在合适的治疗时机选择合适的治疗手段,可以对颌骨发育有促进作用。而成年人颌骨已经定型,轻中度的颌骨问题可以通过移动牙齿来掩饰代偿,然而严重的颌骨问题需要正畸联合正颌手术治疗。
这时候有些拿起小镜子的童鞋可能已经发现自己咬合存在的问题了,有做口腔正畸的打算,但是心中还有些关于正畸治疗的小疑问,我也一并帮你们解答疑惑啦:
Q&A
Q1:正畸治疗有年龄限制吗?
A:牙齿周围的牙槽骨终生具有改建的潜力,因此正畸没有绝对的年龄限制,但是年龄对于正畸治疗还是会有一定影响。
一方面是青少年的颌骨尚未完全定型,存在生长发育及较大改建的潜力,合理利用生长发育可以降低正畸治疗的难度。而成人颌骨已不可生长改建,严重的颌骨畸形难以通过单纯正畸治疗解决。
另外一方面,总体来说,随着年龄增加,口腔内的基础问题也会逐渐增多,比如牙周炎、牙齿缺失,会给正畸治疗增加额外的难度和风险。
Q2:正畸治疗会引起牙齿松动脱落吗?
正畸移动牙齿是牙齿周围牙槽骨改建的过程,在合理的治疗设计、加力下,牙齿周围发生生理性的骨改建,牙根周围是存在牙槽骨包绕的,不会引起牙齿松动脱落。
但如果治疗时存在未经控制的牙周炎,治疗过程中牙槽骨进一步吸收;或治疗前存在甲亢等骨代谢疾病,影响正畸移动过程中的牙槽骨改建;或是不合理的正畸设计和加力使得牙根移出牙槽骨外,也会引起牙齿的松动,因此选择靠谱的矫正医生也非常重要。
正常牙齿周围的牙槽骨随着牙齿移动逐渐改建 | 文献[3]
A.正常的牙齿周围存在牙槽骨包绕牙根 B.严重的牙周炎牙槽骨大量吸收,此时正畸移动牙齿容易出现松动 | 文献[4]

