早上到底是先吃饭还是先刷牙?大多数人都刷错了牙
30岁未到,已满口假牙
是现代人牙齿健康状况的鲜明写照
刷牙这事儿,大家天天干。
但我敢打赌,在座的各位,90%的人“不会”刷牙!
不信?
对照一下,自己是不是满口牙病
(蛀牙、冷热刺激、牙龈出血红肿、牙齿松动、口臭.......)
“刷牙”,多简单的一词,简单到大家或许觉得没什么好讲的,因为这是人人都会的事情。的确,刷牙人人都会,但前提是人人都能做到正确刷牙么?
答案显然:不是。其实很多牙病,大多是因为不会正确刷牙所造成的。
刷牙,不要“锯”牙
烂牙君:一吃冷饮和冰激凌,右上和左下两颗牙齿就钻心地疼。医生说不是蛀牙,是楔状缺损,有7颗牙要补……
每天早晚刷牙从不落下,我也很绝望啊……
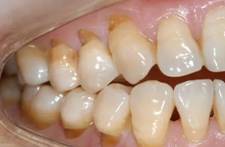
楔状缺损, 大概长这样
▼

它是牙齿唇、颊侧颈部硬组织发生缓慢消耗所致的缺损。当牙齿表面的珐琅质被磨耗掉后,便会露出里面的牙本质,会对各种冷热酸甜刺激敏感,造成牙齿酸痛。
更严重的,还会露出牙神经,甚至牙齿在缺损的地方断开来。
要上真人图了,快让开
▼

为什么会出现楔状缺损?这主要怪横向刷牙。
长距离拉锯式横刷法,对牙齿伤害很大。正所谓“绳锯木断”,不少牙齿的颈部就被牙刷长年累月地“锯”出一道楔形的沟来了。

另外,牙刷毛过硬、酸腐蚀、牙颈部的结构薄弱、颊侧牙颈部是咬应力集中区,以及长期咀嚼使牙本体疲劳等,都会导致楔状缺损。
天天刷牙,不代表刷干净了
烂牙君:不公平啊,我每天都刷牙,为啥还有蛀牙呢?那个谁几天都不刷一次牙,蛀牙也没我多!

其实,得不得蛀牙,人与人之间千差万别。举个例子:
假设你认真刷牙得两颗蛀牙,别人不认真刷得一颗;但如果你也学别人不认真刷牙,那你的蛀牙数量,可能就不止两颗了。

何况,你只是天天刷牙,但你「认真」了吗?随便刷两三下、一分钟搞定,忽略刷牙死角;爱吃酸、爱吃甜,吃完又不漱口或刷牙……蛀牙不找你找谁?
另外,有些人可能牙齿先天发育不好(如牙列不齐难以清洁等);口水分泌不够,平时又少喝水等等因素,如果再不认真刷牙, 就更容易被蛀牙盯上了。
在讲正确刷牙前,爱齿尔君先讲个重点,敲黑板!!!刷牙最好先好先刷右边。(左撇子先刷左边)为什么?人有个惯性,容易找捷径。在口腔医院看牙,10个烂牙君里面,9个人的蛀牙都在右边。
在挤好牙膏要刷牙时,98%的人都是先刷左边,这是因为右手拿牙刷,刷右侧时总是不得劲儿。所以往往右侧刷得要比左侧少,导致两侧清洁度不一样,这也是为什么右侧的牙更容易出毛病。

教你世界最标准刷牙姿势——Bass刷牙法
将牙刷头与牙齿表面成45°角,
斜放并轻压在牙齿和牙龈的交界处。

轻轻做小圆弧状来回刷,
上排的牙齿向下、下排的牙齿往上轻刷,
确保每个牙齿的表面都被刷到,并注意轻刷牙龈;

牙刷竖起,同样成45度角斜放,
上排牙齿向下,下排牙齿向上提拉轻刷;


将牙刷倾斜,与咬合面垂直,力度适中来回刷。
建议选择保健牙刷,
保健型牙刷的动感刷毛可发挥不同部位的独特作用,
分别深入清洁牙面及牙间缝隙;
灵活纤薄的刷头,令难以触及的后臼齿也被清洁干净。


牙齿的内面最容易藏污纳垢,也是最不好刷到的地方。
刷上下前牙的内面时,应将牙刷竖起来,
利用牙刷前端的刷毛沿牙缝上下以小圆弧刷动。

由内向外轻轻去除食物残渣及细菌,
让您的口气保持清新。
用清水漱口,
将嘴里的泡沫残留物吐干净。

还可以含漱口水(或盐水)30秒,吐出来,
充分杀死细菌,确保口腔卫生。

在使用牙刷后,应清洗干净,
再甩干,直立存放,尽量隔绝细菌。

刷牙时,还要注意:
至少需要3分钟。
每天至少刷牙两次,早晚各一次。
别漏掉刷牙死角,如舌头。
另外,提醒大家,就算我们进行了有效地刷牙和牙间清洁措施,也只能清除掉70%的牙垢。因此,最好定期(平均每半年到一年)到专业口腔机构做口腔检查,进行口腔保健(如洁牙等),也可及早发现口腔疾病。
很多朋友在刷牙时,会出现牙龈出血,当看到是那颗牙齿出血时,就避而不刷。
这是错误的做法。
牙龈出血一般情况是牙龈周围牙菌斑多了,也就是牙龈不干净,脏了,致使牙龈发炎,发炎的牙龈被牙刷一刷,就容易出血。最好的办法就是,越是出血的地方就越要好好刷,当刷干净后牙龈也就消炎不出血了。不过,若是刷了一周还是出血,那你可能需要洗牙了,因为牙齿上粘了不可用牙刷刷去的脏物。
这不废话么?当然先刷牙啊!我妈从小就是这么教我的!记得小时候,母上大人做完早餐后,我们起床就直奔饭桌,刚拿起勺子母上大人就一声哟呵:“刷牙了没.......”
所以,我们从小就有一个刻板印象——饭前先刷牙。

有人觉得:
饭后口内有大量的食物残渣,刷刷牙清洁一下的好处是毋庸置疑的。
但也有人认为:
食物会降低口腔内的 pH 值,造成牙齿表面的微腐蚀,如果在牙齿这个比较脆弱阶段刷牙的话,可能会造成牙齿表面釉质的额外损失,所以应该在饭前刷牙。
事实上,二者都有道理,早饭前还是早饭后刷牙,学界还没有一个统一的定论。爱齿尔君的建议是,无论早饭前后,只要记得认真刷牙就好。大家完全可以根据自己的习惯和作息规律安排,但晚上的牙一定是在睡前刷的,刷牙后就不要再进食啦。

