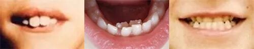
幼儿园体检,超过一半孩子都有这个问题!
开学前的幼儿园体检,几乎一大半的孩子一张嘴就被查出了问题——蛀牙。▼


幼儿园孩子的蛀牙问题真的太普遍了。据2017年的全国口腔流行病学调查数据显示,5岁儿童乳牙龋患率为70.9%。也就是说,10个五岁小孩里面,就有7个有蛀牙。当妈的看了真是心累啊。
娃蛀牙了,有些家长还不当回事,把牙医都气得脑壳疼。▼

不过,也有很多家长对娃的牙齿还是蛮操心的,会在后台留言问糕妈各种关于预防蛀牙的法子。▼


妈妈们想给孩子做窝沟封闭、涂氟,但又担心做这些孩子怕疼,会不会有副作用,或者不了解几岁做合适……就一直犹犹犹豫豫也没落实在行动上。
Emmmmmm,糕妈今天就给大家来个“护牙合集”,好好讲讲你们关心的窝沟封闭、涂氟、补牙、整牙这些事儿。

◆ 什么是窝沟封闭?
窝沟就是宝宝大牙上凹凸不平的裂缝和坑隙,这些“阴沟”可是藏污纳垢的好地方,细菌、食物残渣等都喜欢往里钻,清理不干净很容易引起蛀牙。
窝沟封闭,顾名思义就是要把这些沟壑给填平了,利用封闭剂给宝宝的牙齿竖起一层保护屏障,减少龋齿等问题的发生。

◆ 窝沟封闭几岁做最好?
最好在娃大牙完全长好后,还没被蛀之前做窝沟封闭。譬如:3~5岁做乳磨牙;6~8岁做第一恒磨牙;11~13岁做第二恒磨牙。
这里特别需要提一下的就是,我们的第一恒磨牙,也就是俗称的“六龄齿”,它一般在6岁左右萌出,8岁左右完全长出牙龈;一旦萌出就代表已经步入了恒牙的队伍,终身没有替换服务;同时它又是最容易发生龋齿的牙齿,所以一定一定要保护好,及时做护理。

注:数字不代表出牙顺序
◆ 做窝沟封闭会痛吗?
妈妈们不用担心哦,做窝沟封闭基本没啥副作用,也不痛不痒,宝宝只要张口配合就好。大概看两集动画片的功夫(20~30分钟),就能搞定4颗大牙了。


◆ 涂氟有啥用?
涂氟,简单点说就是给牙齿穿上一件防护氟衣,抵御蛀虫的侵犯,可以降低50%~70%的龋齿发生率。
除了防龋齿,它还能起到坚固牙齿、减少过敏、扭转早期龋齿等作用,可谓是好处多多。

◆ 多久涂一次氟?
根据美国儿科学会建议,当宝宝萌出第一颗牙后,也就是6个月左右,家长就该定期带娃去看牙医,根据医生的建议是否需要涂氟,最好每年复查2~4次。

如果宝宝害怕,妈妈们可以给娃先说说:“涂氟一点也不痛,就跟擦面霜一样,几分钟就好了。”

涂氟之后半小时内不要喝水、不要漱口,4小时内尽量不要进食,当天也不要刷牙。
家长们也不用担心宝宝会误食涂物中毒,因为涂抹的计量很小,而且涂到牙齿上的氟化物很快会变硬,凭舌头舔是舔不下来的,放心吧。

◆ 什么时候需要补牙?
无论多大的宝宝,一旦发现牙齿上有黑点、黑斑或洞洞,妈妈们都要及时带宝宝去牙科医院检查,根据医生的建议看看是否有必要补牙。

补牙半小时后宝宝可以喝水,2小时后可以吃些温软的食物,当天不能刷牙。当然,根据填充的材质,护理可能稍有不同。
◆ 迟早要换的乳牙,为啥也要补?
蛀牙可能会导致乳牙提前脱落,可底下的恒牙还没准备好顶上,匆忙间很容易就移位长残,连带着娃的颜值和说话能力也跟着遭殃。
更何况,有些乳牙要服役十来年(换牙期一般是6~12岁),这么关键的生长发育期,宝宝不要吃饭的啊,不要长身体的啊。
所以,即使乳牙最终会拜拜,咱们也得全力让它“功成身退”。

“大龅牙、多排牙、地包天、鸟嘴……”这些牙齿畸形问题不及时矫正,不仅拖垮了宝宝的颜值,还会对娃的语言发音、下颌关节发育、面部生长对称等等造成严重的不良影响,真的别大意。

那么,问题来了,几岁给娃整牙最好?
推荐3~12岁左右。
3岁的宝宝乳牙一般都已长齐,妈妈们可以带娃去口腔医院全面检查一下牙齿的发育情况,比如牙长得是否整齐、颌骨的发育情况、刷牙习惯对不对、有无伸舌咬唇等不良习惯等。随时发现,随时纠正,有时通过肌肉的力量就可以纠正过来。
到12岁左右,宝宝的牙齿经历了乳牙到恒牙的更替,牙齿发育完成,这时候医生可以做出明确的诊断,需要矫正的不要拖。无论从效果还是成功率来说,都会比成年后再做来得更好。
矫正的时长和牙齿畸形的程度成正比,情况较轻则耗时短,持续3个月到一年以上的都有。所以,牙长歪了早点矫正,也可以让小朋友少受点苦。
最后唠叨几句,哪怕宝宝没有蛀牙,也要养成定期带孩子看牙医的习惯哦。年糕是每3个月看一次牙医,基础检查+涂氟,哪怕我和糕爸工作再忙,也不会忘了这件重要的小事。
今天也给爸妈们提个醒,建议大家在宝宝1岁前就带他去看一次儿科牙医,并建立“牙齿档案”。出牙之后,每年至少复查1~2次。
生活中也要注意帮宝宝养成认真刷牙,配合用牙线和漱口等护牙好习惯,等蛀牙了再去修修补补还是比较折腾的。
愿所有的宝宝都有一口健康好牙,吃嘛嘛香,笑容美美~

