我有一颗小智齿,我从来也不拔,后来我截骨了……
哎呀!又开始智齿痛,每次痛好了之后又忘了去拔,等到下一次痛的时候接着后悔,这次真的受不了了痛了2天2夜,饭不能吃,觉不能睡,真的铁了心要把烦人智齿给拔了。

这智齿啊就像你的[旧情人],一直不舍得去拔,怕痛怕伤害,久不久就出来作妖一下,最终痛苦的还是自己。今天就来聊聊——智齿那些事

如果我们把正常成年人的口腔分为左上、左下、右上、右下四个区域的话,一般每个区域会有 8 个牙齿,长在最后的第 8 颗牙齿,就是传说中的「智齿」,也是我们的第三磨牙。

有些人以为智齿就是智慧的象征,只有聪明的人才会长,其实智齿和聪不聪明一点关系都没有,只是因为它萌出时间很晚,一般在16~25岁萌出,这个时候人的生理、心理发育接近已经成熟,才会被被称为“智齿”。那些相信“拔了智齿会变笨”的人,才叫笨啊。

智齿是不是每个人都有呢?也不一定,大多数人是4颗,有的少于4颗,有的甚至一辈子都不出,长智齿的年龄也很广泛,有的人20岁前就长了,也有的人40.50岁才长,这些都是正常现象,如果你是属于一辈子都不长智齿的人,那真的太幸运了
01.自我检查
首先你对着镜子,先找到自己的中线位置。在两个门牙中间,就是中线位置。

然后尽可能张大你的嘴,从中线开始往两边数,门牙是第一个,数到第八个牙就是智齿。

上图的智齿已经完全长出了,也已经蛀掉了,所以这种情况就要赶紧找牙医去拔掉,否则还会连累第二磨牙也一起蛀牙,那就更麻烦了。
如果照镜子没发现自己有智齿?嘿嘿,先别高兴太早,有可能真的还没长智齿,也有可能是智齿阻生了,请看第二条。
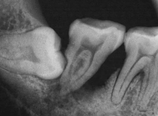
02.拍牙片
看不见的不等于不存在,也有可能是埋伏了。
看牙片就能清晰看到有没有智齿,智齿长的位置怎么样,要不要拔,一切清晰明了

如果发现长智齿了先淡定,让牙医来检查一下是不是阻生智齿,是不是什么问题都没有,如果确实都没有,那么不用拔。

以上是阻生智齿
但是其实80%都有问题的,最好还是拔掉。 因为不管长得正或不正的智齿,由于它身处口腔最深处,临近喉咙,给它的日常清洁工作带来了很大难度,刷不净,甚至根本刷不到,所以很容易发生蛀牙,智齿发炎痛起来也是很要命的~
出现哪些迹象,就需要考虑拔智齿了?
01.智齿反复发炎
智齿带给多数人最直接的体会就是反反复复发炎,这就是传说中的智齿冠周炎。又肿又痛,严重起来嘴巴都张不开。
因为智齿的位置很特殊,距离咬肌很近,炎症如果没有及时控制,进一步引起咬肌间隙感染的话,嘴巴可能连个缝缝都张不开的,怎么吃饭?这种情况下,必要时需要切开引流的:在下颌下缘两公分左右水平,划开一个不大不小的口子,把肌肉从骨面剥开,分离腔隙,等待脓血肆意流淌……

绿色箭头所示位置,相当于你嘴里一个小型垃圾桶,藏污纳垢的好手
如果智齿阻生,口腔里像上图这样形成盲袋,很方便藏污纳垢,条件合适,就肿起来了。冠周炎就是这么来的。当然,肿的时候不可以拔牙,最好去医院冲洗上药消炎,等消了肿再拔。
02.智齿没有咬合关系
智齿萌出的时间和位置都比较随意,并且不是有规律地成对出现。如果对侧智齿没有萌出或已拔出,就会出现“单身”智齿。
没有相抗衡的智齿来对咬的话,有时会发生智齿过度萌发伸长现象,甚至过分到直接咬在对侧牙龈上,反反复复咬破牙床子,严重影响咬合。
03.智齿已引起其他病变

大到可能需要刮骨手术的囊肿
智齿可以引起颌骨的萌出性囊肿,破坏颌骨,严重情况下可能需要截骨。这是会毁容的。所以,千万不要嘴里直视没看到智齿,也不疼不痒,就以为万事大吉。
04.正畸需要拔智齿
为了排齐牙齿腾地方,保证正畸治疗的效果,通常会考虑拔除智齿或其他不是那么重要的牙,比如双尖牙,也就是虎牙后面的牙。
还有研究表明,造成牙列拥挤不齐的原因之一就是智齿萌出,那就更得拔了。
05.智齿已经龋坏
没有良好咬合关系但是完全萌出的智齿,位置太靠里,很难清洁到位,容易发生龋坏。智齿那么靠里,自己也很难意识到,所以多数情况是疼了才发现。
疼了,就是已经慢性牙髓炎了,再拖一拖会引起慢性根尖周炎,进而可能引起颌骨骨髓炎,这个是需要入院手术,刮骨疗伤的。

06.智齿造成邻牙病变
智齿萌发空间不足,常常会倒在第二磨牙上,因而造成第二磨牙清洁不易。智齿躺的时间一长,就会把旁边的邻牙都顶坏了,然后两颗都同归于尽。

这就是个玉石俱焚的案例。本来第一磨牙就缺失,智齿把第二磨牙也给顶牺牲了,种牙是在所难免了 | 作者供图
07.智齿引起邻牙牙槽骨吸收
智齿会引起邻牙牙槽骨的吸收,城门失火,殃及池鱼。正常的邻牙因为远中牙槽骨的吸收,可能过早松动脱落。

首先,对于阻生智齿,通常是需要手术切开牙龈后才能拔的,这个过程想想都觉得疼。事实上,整个拔牙过程中基本无痛的,最不舒服的环节恐怕就是打麻药了。有些人在扎针时候就已经哭了,有些人可能看到下面的动图也哭了。

当天智齿拔除麻药醒后会有点疼痛,一般是一天左右就好了。有些人对痛感比较敏感,拔牙后,会有一段时间的疼痛,一般2到3天,疼痛感就会消失。
不过也有的患者会肿一个礼拜左右,而且难以进食,最多只能抿着嘴咀嚼,而一些拔阻生智齿的患者术后还需拆线,在那之前有可能连张嘴都有困难。
所有指望拔了智齿会瘦脸的人,还是趁早打消这个念头,拔智齿后三五天内,脸一般会肿胀,而等肿胀消退、恢复原形后,就会给人“瘦脸”的感觉,而且拔牙后一两周内不能胡吃海喝,只能吃流食和清淡的食物,加上有时候痛到睡都不睡不好,一下子瘦了好几斤,才有“瘦脸”的错觉啊~
你以为拔完牙之后

事实上是这样的

01.尽量上午拔牙
其实下午也可以拔,主要考虑的问题还是出血的问题,如果拔牙后还是很严重出血,下午大部分医生都在,还是比较好处理的,避免了晚上挂急诊、无法正常睡觉。
02.早上记得吃了早餐再拔
没有吃早饭,容易低血糖。在注射麻药或者拔牙操作中容易晕厥,给自己和医生带来不必要的惊吓和麻烦。
03女性请避开月经期
国内各个版本的教科书都是写着月经期拔牙可能会引起代偿性出血。部分学者查文献获知,该结论并无直接证据。为了个人的健康,还是妥善为佳,除非是必须处理的急症。另外有拔牙经验的人说月经期拔牙会比较痛喔。
1.拔牙后棉球咬1小时以后吐掉,拔牙后2小时可进食,尽量吃凉一点软一点的(大夏天的,吃个冰激凌不错),避免用患侧咀嚼。
2.不要去舔伤口。24小时以内吐口水有点血丝是正常的,不要惊慌,如果出血很严重,请及时找医生。
3.拔牙后24小时以内不要刷牙不要漱口,另外拔牙后,会有非常多的口水,但这些口水不要吐出来,一定要咽下去,否则会破坏血凝块。血凝块是保护伤口不要被细菌入侵,如果冲走了血块,伤口没有了保护造成细菌入侵,容易有干槽症。
4.一般干槽症的症状是拔牙2~3天后有剧烈疼痛,吃了镇痛药也不能缓解,拔牙窝有恶臭味,如果发现有干槽症立即找医生处理,干槽症的预防关键在于手术时减小创伤,保护血凝块,注意口腔卫生和术后休息。
5.最开始的两三天不要喝热水,最多是温水,因为热水会促进伤口的血液循环,非常不利于伤口的愈合和骨组织的形成。而凉水则能使伤口区域血流减速,使伤口更好的愈合。
6.做完手术就可以说话,但还是少说话。吃饭以流食为主,注意营养的平衡,不要吃需要咀嚼的食物注意口腔卫生,饭后必须用漱口水漱口。经常刷牙,不可吃硬东西。
7.七天后拆线,即使拆线后也要注意,半个月后就可以恢复的差不多,完全恢复(即骨组织全部形成)大概需要两三个月的时间。
8.术后肿胀或者疼痛都是正常的,一般会慢慢缓解,注意不要刚拔完牙就热敷哦,要先冷敷后热敷。拔牙后第1天:冷敷(用冰袋或冷湿毛巾)拔牙后第2~3天:热敷(用热水袋或热湿毛巾)
孕期若赶上智齿闹别扭,可是非常让人头疼的一件事。对于孕妇,原则上是不能拔牙的,即便是在孕期中3个月。创伤会引起一些不必要的麻烦。

怀孕前3个月易引起流产,后3个月易引起早产。剩下可选的治疗方案就只有缓解症状了。 想想都让人牙疼。所以备孕也要去做一个口腔检查,有智齿就尽快拔掉,不仅仅是为了你自己,还有你的宝宝!
看牙趁早,听话就好
智齿拔不拔,听医生的
拔完智齿不要忘记笑对生活呀


