杭州姑娘牙齿超白,一张嘴却被医生痛骂:22颗牙全要补!
最近,《钱江晚报》刊载了一则报道,讲述了杭州女孩小陈,十几年坚持用不恰当方法刷牙,终于刷出“楔状缺损”的悲惨经历。我们一块来看一下:
杭州姑娘小陈十多岁做了牙齿矫正以后,特别注重自己的牙齿健康护理。每天早晚认真刷牙,每次刷牙至少要刷到200次以上,有时还要数数,3分钟不够就刷足5分钟。
这十几年来,她都为自己拥有一口洁白的牙齿感到自豪,她的朋友也非常羡慕她的一口白牙。然而,最近她在朋友圈自述,自己的牙齿摊上了大问题。

什么是楔状缺损?
楔状缺损是发生在牙齿唇、颊面颈部的慢性硬组织缺损,呈“V”状,由于它的外形酷似木匠用的楔子,因而得名楔状缺损。多见于前牙或双尖牙的唇面,以中老年患者居多。
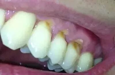
我们一块来看一下这些实例
案例1
案例2
楔状缺损的病因很多,目前常见的原因主要有两个。
刷牙!
方法不正确是楔状缺损发生的主要原因。调查发现不刷牙的人很少发生典型的楔状缺损,而刷牙的人,特别是用力横刷的人,常有典型和严重的楔状缺损。临床上看,牙颈部楔状缺损更多是位于上下颌正中牙齿分别往后数第三、四颗,这些牙处于牙列拐角处,因此刷牙时受到的力也是最大的。

爱喝酸性饮料
有些饮料中的酸性物质和牙釉质、牙本质中的钙会发生反应,长此以往,钙质都被饮料带走了,另外,胃炎患者、常反酸者牙齿也易发生楔状缺损。

楔状缺损分为轻度和重度。两者在医学上处理方法各不同。

对于组织缺损较少且无酸痛症状者,局部不需要特殊处理。但要避免横刷,并选用较软牙刷和磨料较细牙膏。

可选用与牙齿颜色近似,又有一定粘接性的复合树脂或玻璃离子等将楔状缺损补好,以防继续发展;
如缺损已导致牙横折,可根据病情和条件,行根管治疗术后,予以桩核冠修复。无保留价值者则拔除。
停下!你的牙齿被刷坏了!
一、纠正错误的刷牙方法是重中之重,尤其避免用力横刷。儿童可选用圆弧式刷牙方法,成年人可选用改良 BASS 刷牙法。建议选择刷毛硬度适中的牙刷,不宜过软或过硬,每三个月及时更换牙刷,并选用抗敏感牙膏。

采用上下运动的竖刷法,避免使用拉锯式的横刷法。如果缺损已经形成,则需要尽快修补。
巴氏刷牙法
二、对于有消化道疾病的患者应当积极治疗相关疾病,并通过饮食控制减少口腔内酸性物质的停留时间,少喝碳酸饮料。

三、定期的口腔检查能够及时发现口腔中问题,纠正不良口腔卫生习惯。早期预防,早期治疗是远离所有口腔疾病的不二法门,不要等到出现症状,发现缺损时才开始治疗。
温馨提示:其实当你感觉到牙齿不适、酸痛等症状时,问题已经相当严重了。平时我们可以做下自检:对着镜子,看看牙齿颈部有没有小的缺损。

