明明是去补牙,怎么医生倒把牙洞越磨越大了?
很多人在补牙的时候都有这要一个疑惑:
我自己照镜子时,
只看到一点点小洞,
而且平时也不疼,
怎么医生在补牙时要把牙齿磨出那么大一个洞呢?
这岂不是很可惜?

很多人抱着这样的心态,小洞拖成了大洞,从不疼也拖成了剧烈疼痛,不得不去看,却发现已经逃不过根管治疗的命运了。所以,今天小鑫就来跟大家讲一讲,为什么补牙要把牙洞磨那么大。
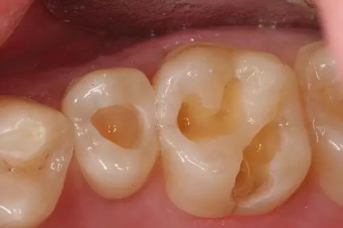
龋坏往往呈现口小底大的三角形,我们肉眼中所看到的小洞可能只是三角形的一个顶点。很多患者经常说,咬到硬物后突然发现牙齿有了一个大洞,往往都是那些「看起来很小」的洞,其周边的牙体组织已经十分薄弱,稍一受力便土崩瓦解。
还有些龋坏位于两颗牙齿中间,临床上称之为邻面龋,表面上看起来完好无损,但一拍牙片,问题就暴露无遗。这样的龋坏起初可能只表现为食物嵌塞,若不及时进行补牙治疗,就会逐渐出现食物嵌塞疼、冷热刺激疼等症状,龋坏会向更深层发展。

表面看不明显,但里面已经烂了大部分了
很多人对磨牙充满了恐惧:担心磨牙的过程疼痛难忍、觉得牙齿磨一点就少一块——这样的心情可以理解。但不磨牙齿,不把腐质去除干净就补不了牙啊!
龋洞中的腐质含有大量被感染的牙体组织,其质地松软并且含有大量细菌,医生磨除的其实就是这些被感染的腐质。如果不将其去除干净就直接补牙,一方面充填材料很容易脱落;另一方面腐质中的细菌会继续侵蚀健康的牙体组织,导致龋坏程度进一步加深,最终走上牙髓炎的不归路。

补牙前,龋洞内的腐质要清理干净
医生会在尽量不破坏正常牙体组织的情况下,将不健康的腐质以及剩余较薄弱的牙体组织清除修整干净,在防止龋病进一步发展的同时,保障补牙的效果。
在10年前,银汞合金是使用最普遍的补牙材料。主要成分是金属银和汞,以及少量的其他金属。其牢固耐用,用于后牙的修复有一定的优势,但银汞合金呈现金属色、不美观,密合性较差,易形成继发龋,随着牙科材料不断更新,现在使用的越来越少。

玻璃离子是一种生物相容性较好的充填材料,对牙髓刺激轻,与牙体组织有粘接性,有利于保护牙髓组织,并且可以释放氟化物,防止继发龋。但耐磨性能较差,用于老年人和儿童接近替换期的乳牙龋齿较为合适。

复合树脂是目前临床应用最为广泛的补牙材料。它是有机合成树脂内添加了大量经特殊处理的无机物形成的一类填充材料。光固化复合树脂色泽稳定,粘接性能强,通过几种不同色系的树脂对牙齿进行分层堆塑光固化,颜色接近天然牙,特别适用于前牙的美学修复。而随着补牙技术的发展,也有了强度和耐磨性更高的后牙专用的树脂。

补牙材料的选择,具体需要根据牙齿的状况、美观要求、经济情况等综合考虑,并非价位高的就一定好,选择适合的材料,才是最重要的。
1. 注意饮食。不用刚补好的牙咀嚼食物或硬物,以防补牙材料脱落,影响补牙效果。
2. 补牙后如有轻微不适及疼痛,但可自行消失,是正常现象。若疼痛非但不减轻,反而加重或出现其他症状,应及时到院复诊,查明病因,消除疼痛。

3. 对于龋坏较为严重的大面积缺损的牙齿,补牙后往往由于牙体本身抗力不足,在咀嚼时易发生牙折,应根据医生的建议及时做牙冠加以保护。
4. 牙齿出现龋坏就表明口腔卫生维护方面存在问题,所以补牙后一定要做好口腔卫生,正确刷牙,饭后漱口,选用牙线或者间隙刷清洁牙缝,让蛀牙无机可乘。


