楔状缺损——刷牙刷出的毛病
随着现代生活节奏的加快
人们做事越来越追求速度,刷牙也是如此。
大多数人对刷牙都存在误区,认为只要刷了,就做到好好刷牙了。其实,只有正确的刷牙方法才能有效地清洁牙齿,可起到预防龋齿和牙周病的作用,而错误的刷牙方式,则会毁掉我们的牙齿!看下面的几个病例。
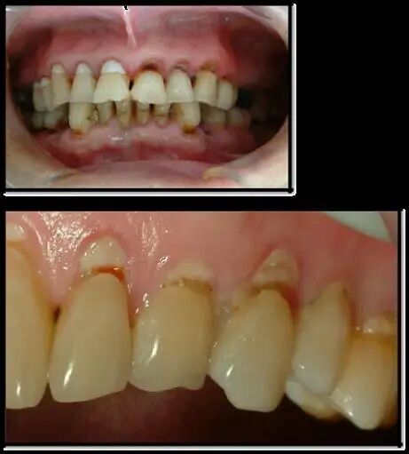
男,40 岁,牙齿常常酸痛。他的楔状缺损是由于不正确的涮牙方法引起的,其楔状缺损较浅,没有涉及牙髓,可以通过充填方法治疗。
女,55 岁,每天用力刷牙。右侧近期出现酸软。可见牙齿表面整齐、坚硬、光滑的楔状缺损。这属于中度损伤,需要垫底以保护牙髓,再充填。
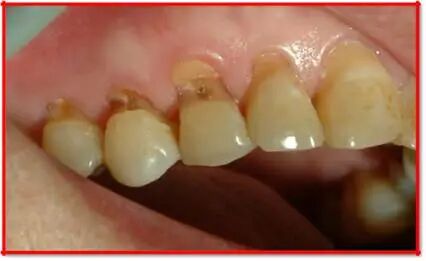
女,34岁。由于她特别喜欢使用硬毛牙刷、用力横刷,这样长期采用拉锯式横刷牙的方式,牙齿表面形成楔状缺损。她已经较严重,引起牙髓炎了,需要根管治疗以后再充填修补。
下面给大家科普一下,什么是楔状缺损以及牙齿为什么会出现楔状缺损。
楔状缺损是发生在牙齿唇、颊面颈部的慢性硬组织缺损。典型的缺损由两个夹面组成,口大底小,呈楔形。楔状缺损往往发生在同一患者的多颗牙,一般上颌牙重于下颌牙,口角附近的牙多于其他区域的牙。
楔状缺损的常见临床表现:
1、牙齿冷热酸甜刺激痛--张嘴吸气时,刷牙时冷水刺激等牙齿会隐隐作痛,冬季尤其感觉明显。大部分患者因为出现上述症状时就诊。
2、好发于第一前磨牙,位于牙弓弧度最突出处,刷牙时受力大,次数多,缺损一般有牙龈退缩。随着缺损越来越大,出现敏感甚至自发痛症状,严重者可导致牙齿折断。
3、随年龄增长,楔状缺损有增加的趋势,年龄愈大,楔状缺损愈严重。
一 横刷牙
这是发生楔状缺损的主要原因,楔状缺损又称为刷牙磨损。其理由是:①用力横刷的人,常有典型和严重的楔状缺损。②不发生在牙的舌面。③唇向错位的牙楔状缺损常比较严重。④楔状缺损的牙常伴有牙龈退缩,牙根暴露。
二 牙颈部的结构
牙颈部釉牙骨质界处的结构比较薄弱,易被磨去,有利于缺损的发生。
三 酸的作用
龈沟内的酸性渗出物与缺损有关。临床上有时见到龈缘下硬组织的缺损。
四 牙齿唇颊侧颈部
牙齿唇颊侧颈部是咬合力应力集中区。长期的咀嚼力,使牙体组织疲劳,于应力集中区出现破坏。
1、损耗甚小(浅)的楔状缺损,无症状,可不必治疗。
2、有牙本质过敏者,可用药物脱敏。
3、过大、过深的缺损,可用充填法修复。已穿髓者可行牙髓治疗,后做缺损修复。对于牙折者,根面好的行根管治疗后桩冠修复,或拔牙。
4、使用正确刷牙法(巴斯刷牙法),刷牙时不要过分用力,以免损伤牙龈。

