牙齿磕掉了、摔掉了、突然掉了……那接下来会发生什么?
磕掉了、摔掉了、突然掉了……生活中,掉牙时有发生。牙齿掉了而没有及时补上,也叫“缺牙”。在医学上,牙齿包括牙冠和牙根,一颗牙暴露在口腔中的部分叫做牙冠,埋藏在骨头内的部分叫做牙根。一般而言,只要牙冠没了就算“缺牙”,包括以下几种情况:
1.牙冠完全或大部分缺失,牙根尚存。
2.单颗牙缺失(牙根也没了)。
3.多颗牙缺失。
4.全口牙缺失。
俗话说:牙不好,疾病满身跑。缺牙其实是牙齿不健康的表现,会引发一系列连锁反应。
总之,缺了牙就要赶快修复,不能等到各种潜伏隐患出现后才治疗。
有哪几种修复方法?
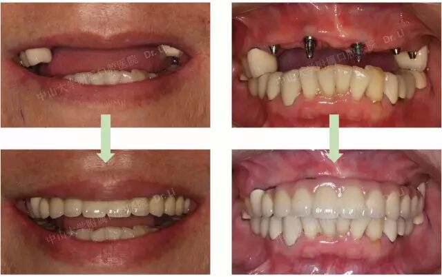
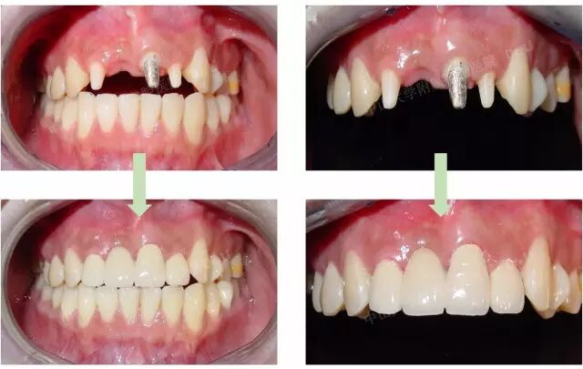
(一) 固定修复
-
方法:把种植钉植入缺牙处的骨头里让它代替缺失的牙根,然后在上面制作牙冠修复缺失牙。从单个缺牙到全口缺牙均适合。 -
优点:舒适美观,基本无异物感;不会磨损旁边正常的牙齿。 -
缺点:需要手术植入;价格稍昂贵;受缺牙区骨条件限制。 -
条件:缺牙区有足够的骨量;能承受种植手术;需要一定的经济预算支持。
-
方法:把缺牙区两侧的天然牙磨小一圈,制作三单位牙桥修复缺失牙。 -
优点:无明显异物感,无需手术,价格适中。 -
缺点:需要磨损旁边两颗正常的牙齿,造成邻牙永久伤害;适应范围狭窄,受邻牙条件限制。 -
条件:1-2颗牙缺失,邻牙稳固,形态、排列正常。

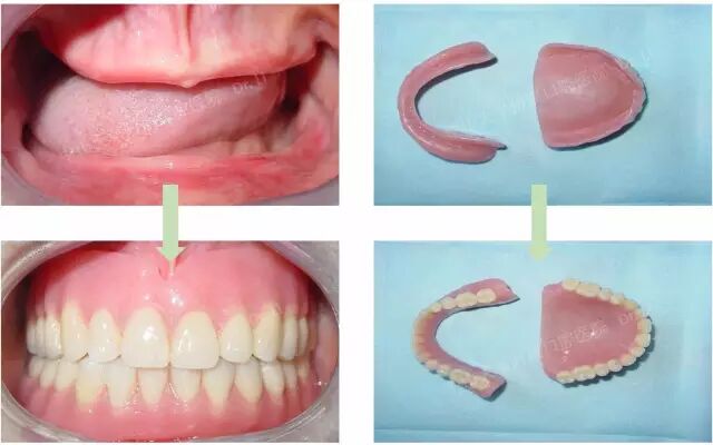
(二) 活动修复
-
方法:义齿通过金属卡环固定在旁边天然牙上(局部活动义齿)或直接扣在牙床上(全口义齿)。 -
优点:价格便宜;适应范围广,从单颗缺牙到全口缺牙均可用;无需手术,对天然牙磨除少等。 -
缺点:异物感较强;咀嚼效能较低;金属卡环显露不美观;长期反复摘戴容易拉松余留天然牙造成“慢性拔牙”;牙床低平者不易戴稳;牙床容易压痛等。 -
条件:需要挂钩的余留天然牙不松动,形状、排列基本正常。
-
方法:在缺牙区植入少量种植钉,用于稳固活动义齿。 -
优点:价格较种植固定义齿低;可以解放余留天然牙;减少牙床压痛。 -
缺点:异物感与传统活动义齿一样。

到底哪一种好?适合自己的才是最好的!
三、啥时候去修复?



