牙齿劈裂怎么办?为什么根管治疗做好还要戴冠?


          相信大家都有这样困惑,那么为什么根管治疗做好还要带冠?



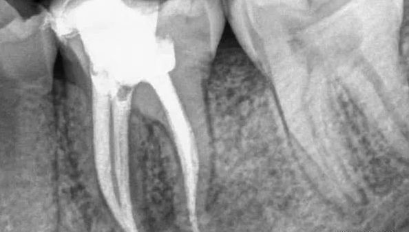
根管治疗


根管治疗适应范围较广,牙髓炎,牙髓坏死,各种类型的根尖周炎都适于作根管治疗,包括由于龋齿、隐裂、过度消耗、穿髓等引起的牙髓炎及牙髓坏死不能保留活髓的情况。


“根管治疗”不仅仅是要将“根管”中的牙髓“杀死”,还要将牙髓从“根管”中清除出来,然后要进行彻底清理和严格消毒,并用人工的充填材料将“根管”严密填塞。



但是,杀掉神经的牙齿其实是非常脆弱的。这主要是因为:



一:单纯用材料已经没法恢复功能

因为需要进行根管治疗的牙齿,一般已经是蛀牙缺损很大,这个时候虽然根管治疗完成,但是剩下的牙体组织非常脆弱,容易折断、裂开,失去正常的功能,单纯用材料已经没法恢复功能。


二:治疗后不太足够支持咀嚼的力量

根管治疗是以药物,以及器械的操作来将根管内的残渣,以及细菌尽可能地清除消毒干净。然而,这样的消毒过程如果要认真的进行,却必须去除掉不少被细菌感染的牙齿,以及不得不修正的牙体组织。所以大部分的牙齿一旦进行根管治疗,则可能不太足够支持咀嚼的力量而可能断裂。


三:失去了来自牙髓的营养供应

经过根管治疗后的牙齿失去了来自牙髓的营养供应,就像失去树根的树木一样,慢慢枯萎变的很脆弱,造成牙齿的脆性增加,易劈裂。


根管治疗后的牙齿


我们的后磨牙在正常咀嚼时可能会承受到五十至七十公斤的力量。根管治疗之后的牙齿变得脆弱,在使用中随时面临劈裂的危险,所以,根管治疗之后的牙齿应该需要保护起来。


正因为这些原因,在某些情况下,做完根管治疗还需要戴上牙冠来保护牙齿。


“戴冠”若不够,桩钉来帮忙


当牙齿做完根管治疗,由于牙齿自身的结构及治疗的需要,牙冠中心一般都是空的,这时,如果直接做牙套,其抗折断力很差,一般都需要在牙根上打上桩钉,做出个结实的核,以对抗牙齿使用中的折断力。



对于后牙来说,做完根管治疗之后一定要做上牙冠,否则在承受咬合力量时,牙齿容易出现断裂。少数做完根管治疗的后牙,若是要做单一的牙冠,只需将所剩牙质修补足够,则可不需做桩钉,但若做完根管治疗的后牙是要作为假牙的基牙,则无论牙质所剩多少,最后都能做好桩钉。


早前如果牙齿蛀牙蛀到牙髓腔,由于当时根管治疗的技术并不发达,牙齿几乎难逃折断的命运,因此多数牙齿最终都会选择被拔掉。现在的根管治疗技术不断发展,相对也大大提高牙齿保留的几率,所以,做完根管治疗的牙齿最好做上牙套,减少断裂的机会,最终达到保留自身牙齿的目的。


如果牙齿劈裂已经发生,怎么办?


1、仅仅个别牙尖或少部分牙劈裂,剩余的大部分牙体稳固,没有咬合疼痛,拍牙片无根尖病变!


需要的治疗:可将劈裂的活动的部分拔掉,再做冠修复。



2、若劈裂刚刚发生,部位在牙体中央,两部分都不松动,不疼痛,牙龈无红肿,无咬合痛,拍片根尖部位无病变。


需要的治疗:可将牙齿劈裂的两部分结扎牢固后,再做冠修复。


这种方法不能保证百分之百成功,医生操作起来很麻烦,不是所有的医生都愿意做。



3、如果劈裂在牙齿的正中,活动比较明显,再加上有肿痛等症状。


需要的治疗:一般就必须要拔除了。拔除三个月后可根据适应症,选择种植义齿、活动义齿或固定义齿修复。这时候,拔牙再加上镶牙的费用,远远超过做个冠修得的费用了!


根管治疗后冠修复更能省钱!


根管治疗后的牙齿千万不要为了省钱而不做冠修复,一旦牙齿劈裂,哪怕有机会做冠修复,也不是原先完整的牙齿;如果劈裂严重,拔牙后再镶牙,不仅要多花不少钱,而且镶上的也不是自己的原装牙!


那既然如此,何不在一开始做完根管治疗后,直接做个烤瓷冠或是全瓷冠,直接把牙齿保护起来呢,至少一开始保护的还是一个完整牙!



所以,根管治疗后的冠修复,就是在牙齿完整的基础上,更省钱的一种方式!


有人可能会说,那如果根管治疗后,我尽量小心翼翼的使用,不让牙齿劈裂不就行了嘛!


当然可以,同时我们也要清楚,牙齿作为我们身边的一部分,本来就是为我们服务,如果我们连正常咀嚼,正常随性的吃东西都做不到的时候,是不是会感觉很悲伤呢?


患者又该如何选择牙冠?


现在非常普遍的烤瓷牙冠外形逼真,不变色,使用时间长,能够更好的保留经过根管治疗后的牙齿。烤瓷牙冠基本分两种:一种是金属的,一种是全瓷的。


因为牙齿没有了神经,就失去了活力,没有了营养的供给,牙体会逐渐变黑,影响美观。而全瓷牙的色泽无论在灯光下和自然光下都能保持自然色,因此备受影视明星和公众人物的追捧。全瓷冠具有良好的生物相容性,不会给口腔环境带来影响,可以在口腔内永久保存。因其材料是由全瓷材料组成,放置在口腔内,牙龈周围不会有难看的黑线出现,美观效果极佳。



相对来说,金属烤瓷牙的效果会有点不尽如人意。因为如果做的时间长了,金属就容易被氧化,被氧化后的金属离子游离出来,就会使牙龈边缘出现黑线。况且有些金属会刺激牙龈,对人体是有害的。所以,不管是从美观角度还是健康立场来说,医生都建议大家选用全瓷的烤瓷牙来保护根管治疗后‘脆弱’的牙齿。


戴冠后的注意事项


根管治疗之后的牙齿,除了及时戴上了牙冠,也需要我们多加注意,小心呵护。咀嚼进食过程中必须要知道以下注意事项:





1、避免咬硬物。虽然牙齿在根管治疗后基本恢复了咀嚼功能,但是失去了牙髓,牙齿比以前要脆弱很多,而且对于烤瓷牙冠来说,尽量避免咬硬物。


2、刚做完根管治疗,由于失活剂的刺激,牙齿会有些许的不适应感,如果经过短期时间不适感能消失,则属于正常反应。等过了一段时间,如果牙齿出现疼痛、红肿的现象,这时一定要及时去口腔机构检查治疗。


3、做了根管治疗,患牙恢复健康,但是因为整体的口腔卫生状态没有发生改变,牙齿之后还是会出现病症。因此,做完根管治疗,戴上牙冠加以保护后,依然要多注意口腔卫生的情况,做到早晚刷牙,饭后漱口,养成良好的卫生习惯。






上一篇:英国民众牙疼无医可看,在家用钳子拔牙!
下一篇:根管治疗的收费标准原来是—难度=费用