医生,我的烤瓷牙崩瓷了,怎么办?
张大妈三年前做了烤瓷牙,前两天咬核桃的时候,烤瓷牙就崩了瓷。虽然只是崩掉了一点,但是边缘处比较锋利,不管又不行,去重新镶个新的吧,又觉得不值得,这可愁坏了张大妈!
那遇到烤瓷牙崩瓷的情况,该怎么办呢?在回答这个问题之前,我们先来说下,
烤瓷牙崩瓷是由哪些因素造成的
1、可能是你爱护不够
日常生活中,如果对烤瓷牙爱护不够,很可能会引起崩瓷的情况。比如,用烤瓷牙来咬硬度较高的东西或者过硬、过韧的食物,像开啤酒瓶盖、咬甘蔗,或者意外受伤导致烤瓷牙受到猛力撞击等等。

另外,如果晚上有磨牙的习惯,佩戴烤瓷牙的时候容易产生牙齿咬合问题,也容易导致崩瓷。
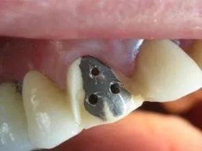
2、可能是烤瓷牙材料不太好
烤瓷牙材料不够好,也会使烤瓷牙出现崩瓷的状况。例如金属铸件太薄,不足以支持烤瓷层,金属处理、烤瓷不当,预氧化处置不当造成氧化层过厚或者过薄等。
而且生物相容性差的金属也会对周围组织产生不良刺激,出现过敏、腐蚀、金属离子渗出等现象,从而产生牙龈炎、牙周炎、龈缘黑线、口腔异味等。
3、还有可能是医生技术的问题
很多患者经常把注意力放在医院或者诊所的规模、档次、设备好坏和烤瓷牙所用材料上,往往只关心自己做那种烤瓷牙,对医师的技术的考虑则比较少,其实医生的技术对烤瓷牙使用起来的寿命也起到性的作用。

比如,烤瓷牙如果设计不合理,就有可能因为受力过大出现假牙折裂、崩瓷、真牙松动等现象;或者做的烤瓷牙与真牙之间不太密合,缝隙越大,或者粘接剂质量不高,都会导致病菌进入缝隙造成对天然牙的腐蚀,形成龋齿,里面的真牙坏了,烤瓷牙也用不长。
烤瓷牙崩瓷了怎么办
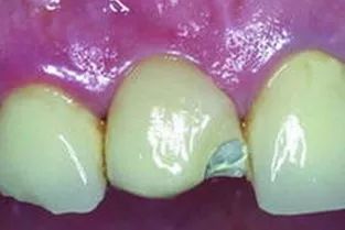
1、崩瓷较小
这个时候你应该仔细察看自己的烤瓷牙,看看崩掉的瓷块所在位置、大小、形状。

如果通过照镜子或亲友检查不易发现崩瓷部位,崩瓷较小,且崩瓷处没有尖锐边缘者,可以不用处理;如果崩落的瓷块小,又不影响美观,可以考虑适当磨改后继续使用。
2、大面积瓷层崩裂
如果大面积瓷层崩裂,崩瓷部位明显,影响美观,且崩瓷处形成尖锐边缘,造成舌头或唇、颊黏膜创伤等的时候应及时就医,最好能够及时到装牙医生处复诊。严格来说,烤瓷牙崩掉一块瓷以后,应该拆除原修复体重新制作。
目前对于瓷层崩裂,已有相应的树脂修复材料。局部崩裂经表面处理后,将材料塑形光照固化,可以达到修复缺损的目的。
尽管已经有很好的材料弥补,但还是应该小心呵护你的烤瓷牙,避免出现崩瓷现象。

怎样预防烤瓷牙崩瓷
1、养成清洁好习惯,避免实物残渣的堆积。烤瓷牙与基牙的接合处容易聚集菌斑,形成牙石,应注意清洁,牙缝间可用牙线清洁,并定期到医院检查、洁牙。如果口腔卫生做不好引发牙周炎,造成组织感染,崩瓷时很有可能发生的。
2、避免吃过硬的食物,可以从吃软食开始,避免刺激性的食物。烤瓷牙修复后,烤瓷牙内的金属内冠化学性能不够稳定,如果食用过酸的食物,会导致金属物质内某些离子处于游离状态,从而来刺激牙龈部位。
3、定期复诊,要养成定期复诊的好习惯,一旦有不适感可以及时由医生进行诊疗。
4、为了确保烤瓷牙的质量,一定要到正规的口腔医疗机构,找专业的医生进行镶牙修复。

关于烤瓷牙的常见问题解答
1、烤瓷牙一般能用几年?
据统计,制作规范精良的烤瓷牙,配合正确的使用方法以及良好的维护保养,其失败率是 10年4%,20年10%,也有数据显示是 10年失败率是20% 。因此,一般来说,烤瓷冠用个10-15年不是太大问题。
2、做了烤瓷牙能不能洗牙?
装了烤瓷牙还是可以洗牙的,只是牙医在洗牙过程中,要格外留心。利用超声波洁牙的时候,如果医生不专业或不小心,有可能会把粘烤瓷牙的粘接剂震松脱落,使真牙与烤瓷牙间产生缝隙,甚至导致烤瓷牙脱落。
因此一定要去正规的医疗机构,也可以选择手工洁治。

3、烤瓷牙和全瓷牙差别在哪?
时间长了,烤瓷牙会出现牙龈黑线问题,甚至有些人会对烤瓷牙的金属部分产生过敏现象,而全瓷牙没有这些问题;烤瓷牙的硬度大于牙釉质,可能会造成对颌牙的磨损,而全瓷牙的硬度与牙釉质近似,不会对颌牙造成磨损。
另外,很多人都听过许多医院在进行核磁共振检查时,要求拆除烤瓷牙金属牙冠,否则不予检查,因为金属牙冠影响核磁共振成像质量,而全瓷牙是非金属,不会产生影响。
如果因为这个原因耽误病情治疗,那就得不偿失了。
因此,如果有条件,为了省去很多麻烦和问题,还是建议大家首选全瓷牙。


