经常会有人问我:“哎呀我这刷牙老出血,是不是有什么病啊?”,接下来我们就要来讲讲这最常见的刷牙出血的病因从何而来。
牙龈不健康的几大表现,你中招了吗?
01
健康牙龈和不健康的牙龈
在了解疾病之前,我们先来看一看正常的牙龈是什么样的:

色泽:粉红色
形状:菲薄无肿胀
质地:坚韧有弹性
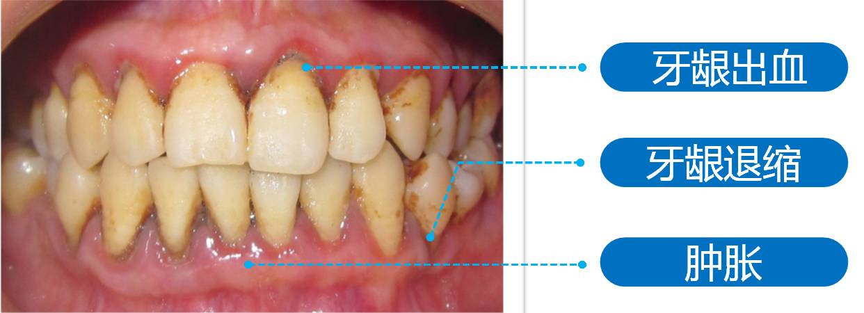
那么我们再来看看,不健康的牙龈是什么样的呢,大家可以自己看看,图中的这些问题你们是不是也有?

牙龈出血、肿胀、牙龈退缩,其实这些也就是我们常说的牙周病的一系列症状。
02
什么是牙龈炎和牙周炎?
许多人不能理解到底什么是牙周病,这里我们就来做个类比:健康的牙周组织就像让牙齿扎根的土壤一样,牙齿安稳的长在上面就像一颗枝繁叶茂的大树。

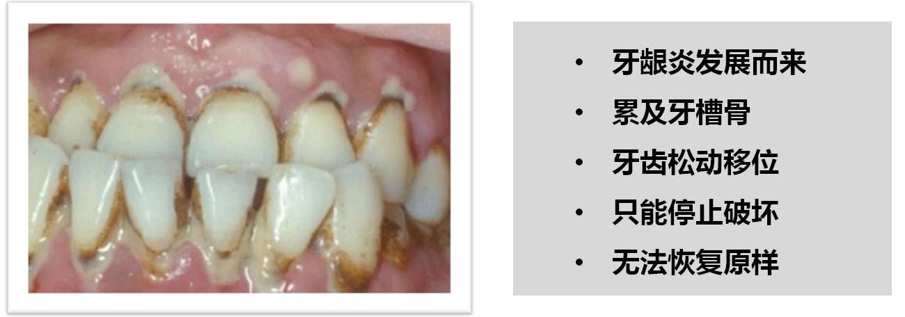
牙龈炎是由于菌斑、牙结石等脏东西长期的堆积而造成的牙肉发炎,常常会出现牙肉红肿、刷牙出血等问题,一般洗牙后能够恢复正常。


牙周炎则是由牙龈炎发展而来,前面提到的脏东西持续的刺激牙龈,导致了更深一步的牙齿周围骨头的破坏。失去了骨头的支持,牙齿便出现了松动移位的问题,而一旦到了这个程度,牙周的治疗就仅能停止炎症的继续破坏,而无法使牙龈、牙槽骨恢复到原来的状态。


03
牙周不健康有何不良后果?
同样类比到大树上来说,大石头和蛀虫一直不去除,土壤就会开始流失,细菌也会越发接近树根导致大树越来越不健康,由于缺少了土壤的帮助,大树也会发生松动,但初期因为大石头压在大树周围,因此可能松动并不明显。这时,我们通过口腔科的治疗移除口腔中的牙石和菌斑后,大树虽然还是能够恢复健康,但是流失的土壤却不会再回来了,缺少了大石头的固定,大树的松动也变得明显起来。这也就是许多人说的洗牙为什么会把牙洗松掉,大家可以发现并不是洗牙导致牙齿的松动,而是牙周炎的破坏。
由此可见,早期预防、及时治疗对于牙周疾病来说是多么重要。

