牙齿明明只烂了一半!为什么却说不能补牙?

好多患者蛀牙疼到受不了,牙齿差不多烂了一半,直接上来就想让医生补掉蛀牙,但是医生说这种情况已经补不了,这是为什么?难道眼睁睁看着蛀牙被拔掉吗?





为什么不能补牙?



通常蛀牙有三种阶段,各位对号入座:

第一阶段:牙齿咬合面有黑线,大牙一般最常见,说明开始蛀牙了,牙釉质被细菌龋坏,但不痛不痒,会出现窝沟龋得及时补牙,而不是去洗牙;

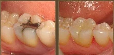
第二阶段:牙齿出现小黑洞,说明引起中度蛀牙,细菌腐蚀来到牙本质,伴随着牙齿敏感,黑色腐败物质其实就是细菌的产物,这时候还可以再补牙;

第三阶段:牙齿超过一半烂掉,说明已经重度蛀牙,细菌伤及牙髓牙神经,还伴随着剧烈疼痛,牙神经病变这时得根管治疗处理,挽救伤痕累累的牙齿。


之所以不能补牙,医生是从这三个角度考虑的:

  1. 蛀牙出现疼痛,说明牙髓受细菌感染,可能已经引起牙髓炎,这时得进行根管治疗;

  2. 蛀牙面积过大,复合树脂补牙往往没效果,补完没多久容易掉。

  3. 蛀牙引起牙根发炎,牙龈上还会长脓包,医生会拍片检查症状。




轻度蛀牙,选什么材料补?



目前,临床上常用的补牙材料有两种,玻璃离子和树脂。这两种普遍用得多,根据你的蛀牙情况进行选择:

玻璃离子

生物相容性较好的充填材料,与牙体组织有更好的粘接性,保护牙髓的同时还能释放氟化物,预防再次蛀牙,小朋友乳牙被蛀坏,这种材料补牙比较合适。



复合树脂

接近牙齿颜色的填充材料,粘接性还不错,特别耐磨抗腐蚀,关键补牙后还看不出有补过痕迹,大人和小朋友都可以使用。

补完牙齿并不代表就能一劳永逸,没有好好保养牙齿,一年内也是会再次脱落,真的伤不起!




小洞不补,大洞吃苦



俗话说:小洞不补,大洞吃苦。蛀牙是牙齿健康的天敌,很多人从孩童时期就开始蛀牙,蛀牙不仅会导致牙齿疼痛而且长期蛀牙会龋坏牙齿,由浅入深的龋坏,牙齿里形成深深的牙洞,而此时只有及时的补牙才能防止蛀牙的进一步发展。




补牙要趁早



如果患了蛀牙(龋病)就应尽可能地早修补,因为龋洞经过修补后可以阻止龋病病变的发展,及早恢复牙齿的功能,保持牙列的完整。

若不进行及时治疗,病变就会越来越大,从浅龋发展到深龋,对冷热酸甜等食物刺激敏感;当损伤到达牙髓,引起牙髓炎,此时牙痛会十分严重;当病变再进一步发展,会引起根尖炎、根尖周脓肿,甚至颌骨骨髓炎,牙齿脱落缺失。牙齿的龋坏、缺失,会影响咀嚼,加重胃肠负担,进而影响身体健康。





补牙后要注意什么



1.  树脂补牙后的当天,不可刷牙,以防触碰引起补牙材料的脱落。

2.  补牙材料的凝固需要一定的时间,因此补牙后2小时内应忌食,2小时后,可适当吃些清淡、温和的流食及半流食;如牛奶、面包、粥及汤类。

3.  补牙后的牙体,其咀嚼功能较真牙差,因此补牙后应注意口腔的防护,切不可咬过硬的食物。

4.  若龋洞较大,补牙后,牙体修复后往往由于牙体在咀嚼时易发生牙折,为此,这类牙齿补牙后应根据医师的建议及时做牙冠给予保护。

5.  补牙后如有轻微的疼痛及不适是正常的,过一段时间方可适应,而如果补牙后疼痛非但不减轻,反而进一步加重,则应及时让主治医师进行进一步的调整修复。

最后,提醒大家,

在日常生活中要注意口腔卫生,早晚刷牙,同时,应该定期看牙医,进行口腔检查和洁牙,及时去除牙菌斑和牙结石,减少牙菌斑和结石对牙齿的伤害。



 • end • 




上一篇:关于牙齿美白的“问”与“答”
下一篇:女神节:这些口腔疾病如此“偏爱”女性 ?