不慌,这些口腔突发小状况,在家就能解决!
这个春节,少了碰面却多了思念,少了聚会却添了牵挂……
目前是新冠肺炎疫情防控关键期,防控措施进一步升级,在出门受限、口腔科(急诊除外)停诊的情况下,遇到义齿或隐性矫治器出现问题怎么办?我们整理了“可摘局部义齿的正确使用与维护&隐形牙套突发问题的应对”小贴士。
可摘义齿使用及维护
什么是“活动义齿”
龋病和牙周病是导致人们牙齿缺失的主要原因,根据第四次全国口腔流行病学调查,65-74岁老年组的平均牙齿留存数为22.5颗,难以满足咀嚼需求。因此,缺牙患者应及时修复缺失牙,从而恢复口腔功能。
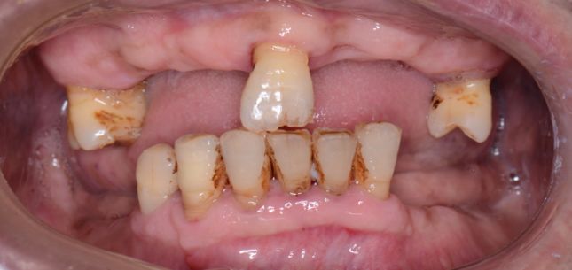
常见的义齿修复方式有固定义齿、种植义齿、可摘局部义齿和全口义齿;下面要说的是可摘局部义齿,俗称“活动义齿”,也常被大家称为“活动牙”。中老年缺牙患者常由于缺牙数量多(比如下图)、身体状况差等原因,不能行种植牙或者固定义齿修复。因此,创伤小、费用低的可摘局部义齿是比较好的修复方式。可摘局部义齿创伤小,在修复治疗过程仅需对余留健康牙做极少量的调磨,不会产生明显的不适症状。
义齿 - 初戴篇
由于活动义齿有金属或塑料基托,初次佩戴时常会有异物感甚至恶心等不适症状,也可能出现发音不清或咀嚼不适,一般坚持佩戴2~4周即可改善。建议您初戴活动义齿后先吃较软的食物,且尽量少用前牙切咬大块食物,待适应后再逐渐增加食物硬度。
义齿 - 取戴篇
戴义齿时首先要放准位置,再用手指轻压义齿面,使之完全就位,轻轻咬合应无明显不适。若咬合时感觉一侧高起,则提示义齿未正确就位,需要取出义齿重新戴入,此时切不可用牙咬合就位,以免卡环产生永久变形或损坏。
取义齿时用指甲或指尖沿就位相反方向推卡环(金属钩),对称用力即可取出。此外,若有特殊的取戴方式,主诊医生应特别嘱咐过您,请您遵照医嘱即可。初戴不熟练时,建议您对着镜子练习。
义齿 - 清洁及维护篇
您进食后在义齿底部及边缘难免会有食物滞留,因此饭后需取下活动义齿,清洁干净再佩戴。睡觉前要取下活动义齿,清洁后保存在洁净的冷水中(切记不能放在热水中)。义齿可用软毛牙刷蘸牙膏轻轻刷洗,刷毛过硬和过于用力刷洗会磨损义齿。除了常规清洁义齿外,还可以定期使用义齿清洁剂(如保丽净,葛兰素史克)浸泡后再刷洗,这样可以更好的去除细菌、色素及异味。
义齿 - 疼痛篇
戴用义齿初期可能出现余留牙或黏膜的疼痛、摘戴困难、咬颊或咬舌等现象,出现这些情况需要及时复诊;若出现食物咬不烂、发音不清、恶心、唾液增多等情况,可以坚持使用,2-4周还不能改善再复诊。
如果义齿损坏或变形导致不能就位或戴入后出现牙齿疼痛,请暂时取下义齿,存放于清水中,待疫情过后及时来医院复诊,切不可擅自修改义齿。当然,若长期不戴义齿,由于余留牙位置改变等原因,可能导致义齿摘戴困难,甚至无法戴入,这时需要重新制作义齿。
隐形矫治的问题和处置方法
戴用时间
佩戴隐形矫治器,每副牙套每天都必须佩戴20-22个小时,不能自行提早更换牙套,如果自行改变佩戴时间,比如每天佩戴10个小时左右,延长更换周期,即使佩戴总时长一样,效果也会大打折扣,因为牙齿在佩戴牙套时会产生移动,取下牙套后会反弹。
收纳及存放
隐形牙套应放在清洁的牙套盒中,疫情期间应注意让牙套、牙套盒及咬胶等远离用过的口罩。
清洁及消毒
接触牙套或牙套盒前必须严格清洁手(可参考“七步洗手法”),尤其外出归来应先摘掉口罩并严格洗手后再接触牙套;做好牙套、牙套盒、咬胶的清洁和消毒工作,除了用牙刷或超声清洁器常规清洁外可用75%酒精擦拭消毒,晾干后用清水冲洗干净。
七步洗手法
手中牙套不足怎么办?
疫情期间可暂缓更换牙套,4周一换,保证每天的戴用时间,疫情结束后正常复诊。若无可更换牙套,可坚持戴用最后一副牙套,避免戴用牙套进食,直至正畸门诊开放复诊。
牙套不贴合怎么办?
拍摄不贴合的地方向医生反馈。轻微的不贴合可以多咬咬胶调整,如果是严重的不贴合,可以退回上一副牙套甚至上上一副,从能完全贴合戴入的一幅开始戴用,保证每天戴用时间并使用咬胶。
牙套刮牙龈或嘴唇怎么办?
疫情期间难以复诊,可以自行用指甲钳或锉刀等工具修整牙套边缘,同时保证不破坏牙套的整体性。尽量避免戴用牙套进食,减少牙套磨损。
附件脱落怎么办?
每天检查牙齿上的附件是否完整,若附件脱落,可继续正常戴用当下的牙套,但是在重粘附件前暂时不要更换下一副牙套,因为有的牙齿要依靠附件移动,缺少附件会导致后期更换的矫治器无法贴合。
世间有爱 春暖花开 最后,祝福大家身体健康、宅家愉快!

