牙龈反复红肿出血,千万别以为是小事!因为后果可能是这样的...
在日常生活中
很多口腔症状都是在给我们敲“警钟”
比如牙龈出血红肿等
但很多人都误以为是“上火”
清清火就可以解决

而这实际上是口腔疾病的表现症状
如果放任不管
病情就会进一步发展
最终可能会导致牙齿松动、脱落!
今天给大家盘点一下关于口腔健康的5大误区
误区一
牙龈出血是上火,吃梨子清火
牙龈反复出血、红肿很多人
都会以为这是上火了只要清火就可以
但其实这是牙结石和牙菌斑附着在牙齿表面
引起的牙龈浅表性炎症症状
就是牙龈反复出血和红肿



误区二
牙龈出血红肿,没事,又不疼
牙龈浅表性炎症是一种慢性反复
进行性炎症,而且牙龈出血和红肿的
严重程度,也和自身免疫力有直接关系

当免疫力低下
休息不好时炎症反应会重一些
反之,则出血的状况不会那么明显
这也是牙龈出血情况时好时坏的原因
其实这和是否有吃“清火”的雪梨,没有任何关系

如果牙龈炎反复出血、红肿
一直都得不到有效治疗
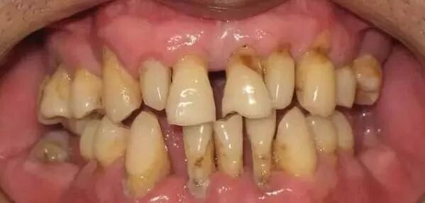
就会进一步发展,形成牙周病
此时会发现自己的牙缝变大
随着牙槽骨的吸收,牙龈开始萎缩
牙龈出血状况进一步加重,有时伴有牙龈充血溢脓
误区三
牙齿冷热敏感,用抗敏感牙膏
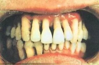
当牙周病发展到中期时
牙龈会随着牙槽骨的进一步吸收
萎缩得越来越严重,当牙龈萎缩
至2/3时,大部分牙根就会暴露在外

此时,就会感觉牙齿冷热敏感酸痛
牙缝进一步扩大,牙齿松动情况也会加重
有时会有咀嚼无力感
抗敏感牙膏
只能起到缓解牙齿敏感症状
对于导致敏感的病因并不能起到有效治疗
因此抗敏感牙膏
一般是建议在牙周治疗后,配合使用

误区四
牙齿不松动就不用治疗
临床有很多牙周病人
都是等到牙齿松动和牙周溢脓时才来看牙医
其实这时牙周病的侵害已经非常严重了
已经错过了治疗最佳时期

牙周病发展后期时
会出现牙周脓肿
牙槽骨严重吸收,牙龈严重萎缩
大面积牙根外露,并会累及邻牙松动脱落


误区五
得了牙周病,治疗没用要拔牙
在牙龈炎还没有发展成牙周病时
如果能及时治疗,其实牙齿完全可以保住
那么,如果已经发展成牙周病
牙龈萎缩、牙齿松动,该怎么治疗?

牙周病示意图
对于重度牙周病人来说
如何消除控制牙周炎症
阻断牙龈萎缩,重建牙周骨组织
才是有效留住真牙的治疗方法
而传统牙周病的治疗
一般都是洗牙、龈下刮治和普通翻瓣术
而这些治疗方法,通常只能用于炎症的消除
无法达到很好的留住真牙效果
今天的分享就到这啦~

