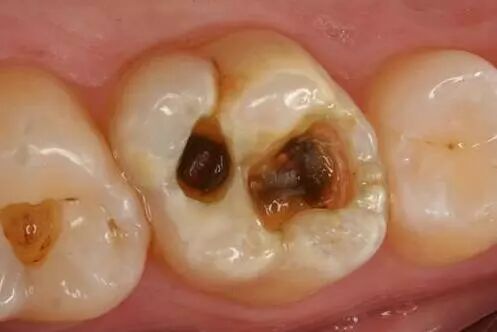
不知道大家有没有注意过,大牙上有时会有一些“小黑线”,面积不大,但是却让人心慌,所以这到底是蛀牙,还是沉淀?
小黑点分为两类,一类是色素在牙齿表面的沉淀,一类是牙齿病变而龋坏
医生相信疾病的发展是由浅入深,逐步加重的,但只要前期控制得当,更有利于康复。黑点作为一个不起眼的东西寄存在牙齿表面,如果我们没有及时重视,放任其自由发展会怎么样呢?
1、
如果是简单的色素沉淀,只需按时刷牙,认真清洁牙齿表面,即可去除。
2、
如果是龋坏的话,情况可能会比较麻烦一点。由刚开始的小黑点,到侵犯牙釉质,再感染牙本质表层,引发牙髓炎,最后侵入牙根,牙齿不保。
小黑点最坏的后果是龋齿,龋齿的危害有多大?我们需要怎样进行治疗呢?
1、 龋齿会产生口腔卫生问题,有异味,影响个人形象。
2、 严重的龋齿会影响咀嚼功能。一方面会因为个人原因,营养摄入不足,影响身体健康;另一方面,一侧咀嚼,影响颌骨发育,长时间下去脸会出现不对称的情况,影响容貌。

3、 疼痛。有句老话说的好:"牙疼不是病,疼起来要人命",到时候吃饭、说话、休息都会受到影响。
4、 乳牙龋坏严重而过早拔除,引发邻牙移位,导致恒牙萌出紊乱。
5、 诱发疾病。严重的龋坏会引起牙髓炎、根尖周炎等等,到时候不仅仅是疼痛的问题了,如果还是拖久不治,更有可能引发败血症,甚至威胁生命。
龋齿的发展不是一蹴而就的,需要一个漫长的过程。在这个过程中,我们要做的就是早发现,早治疗,尽量降低龋齿带来的风险。
浅龋阶段:
一般采用保守的药物治疗,常用的药物为氟化钠或氨硝酸银。最常见的方法是用氟化钠甘油糊剂对表层釉质龋进行涂抹,进行终止龋病。
中龋阶段:
深龋阶段:
这个时候就需要进行根管治疗。首先清除根管内坏死的牙髓和坏死物质,加下来在根管内封药消毒,最后用药物填充根管,最后还需要做一个假牙冠来保护牙根,到这个时候牙齿就很敏感了,不是一般的修复可以解决的。
1、 养成早晚刷牙、饭后漱口的好习惯。特别推荐使用软毛牙刷,含氟牙膏,配合正确的刷牙方法,刷牙后配合漱口水漱口。

2、 注重饮食健康,少吃酸性刺激、糖分高、过于坚硬的食物。
3、 窝沟封闭。窝沟封闭是世界卫生组织向全世界儿童推荐的一种预防龋齿的方法,对于预防儿童龋齿有很好的作用。
4、 定期去医院检查,做到早发现,早治疗,防患于未然。
6、 学习正确使用牙线,准确清洁食物残渣,更好呵护牙齿。